郑州矫正龅牙多少钱?龅牙当属牙齿畸形中更为难看的一种牙齿状态了,对于我们的形象打击,可谓说是让我们深陷谷底。必须对龅牙进行矫正才能让我们树立良好的形象。那么郑州矫正龅牙多少钱呢?下面请郑州知名口腔科专家介绍一下。
郑州矫正龅牙多少钱?中韩·唯美口腔的专家介绍说,龅牙矫正的价格是与很多因素有关的,成年人和未成年人由于牙齿情况的不同,价格会有差异;所以矫正龅牙多少钱?不能一概而论,其价格具体受到以下几方面因素的影响:
一、、牙齿情况:龅牙情况不同,所需的治疗方式也有所不同。一般来说,龅牙可分为骨性龅牙和牙性龅牙,骨性龅牙矫正价格略高,而牙性龅牙则较低。建议成人患者朋友到正规医院就诊,与专业医生沟通后选择合适的龅牙矫正方法。
二、矫正方式:针对病因不同,价格不同。以矫正器为例,成人由于牙齿发育完全,通常选择隐形矫治术、美牙冠和全瓷牙的方式矫正,不仅矫正效果出色,而且造型美观、摘戴方便,不影响正常工作和生活,不同的方式,在矫正龅牙多少钱的定位上自然也有所不同。哪种矫正方式适合你呢?点击在线咨询,直接与专家对话了解详情!
三、矫正设备:牙齿矫正设备由于国产和进口的仪器之间性能的差别,导致成人矫正龅牙多少钱的定位不同。专家建议成人患者朋友们根据牙齿状况和经济条件选择适合的仪器。
四、医生技术:医生不仅要精通口腔矫正技术,也要有较强的审美理念,并要把握临床医师的修复理论、规范的操作、正确的设计和技师的密切配合等,这样才能达到成人龅牙矫正的至佳效果。
此外专家还表示,龅牙矫正的价格还会受到医院不同的影响,不同的医院收费标准不一样,那么价格也就自然而然的不一样了。为了保龅牙矫正的至佳效果,建议患者应选择正规专业的医院才行。
龅牙矫正更好的方法推荐——韩式隐形矫正
中韩·唯美口腔率先引进的韩式隐形正畸技术继承了传统的牙颌畸形矫治的理念,是现代口腔医学、计算机辅助四维诊断、个性化设计及数字化成型技术的完美结合,是正畸领域的新突破。韩式隐形正畸由中韩齿科专家联合坐诊,实现全程无痛无创快速疗法,专门治疗各种牙齿排列不整齐,咬合错位等牙齿形态问题,还你一口整齐、坚固耐用的健康原牙。推荐阅读:韩式隐形矫正
该技术是完全个性化的设计理念,可根据正畸者的情况佩带不同的矫治器,完全不影响正畸者的生活。具有隐形高效,稳定美观的特点,并且大大地缩短了疗程,使治疗时间缩短近三分之一,复诊时间缩短二分之一,为正畸者大大节省了时间,透明隐形正畸矫正矫治器厚度不到1mm,透明、光滑、舒适,无异物感和粘膜刺激,是目前更受欢迎和信赖的美齿项目。点击在线咨询。了解牙齿矫正的优惠活动!在线预约可享更多优惠!
中韩·唯美口腔牙齿矫正专家推荐

李玉如,口腔正畸科。副教授,副主任医师,硕士生导师,口腔医学正畸专业硕士。1991年毕业于中山医科大学口腔系,一直从事口腔正畸的临床、教学和科研工作,临床经验丰富,并注重知识的学习更新,2004年硕士学位毕业。擅长正畸科各类牙颌畸形及疑难病例的矫治,对青少年反牙合、开牙合、功能性矫治、阻生牙的导萌牵引及成年人牙颌畸形、牙周病的正畸治疗有良好的疗效。
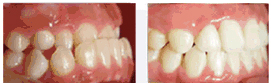
中韩·唯美口腔牙齿矫正前后对比图

温馨提示:如果你在阅读文章时碰到不清楚的地方,可以通过在线咨询中韩·唯美口腔的专家;如果你需要看病又不想排队挂号,也可以通过这里提前预约,我们将免费为你安排。
相关感兴趣文章
豫公网安备 41010502002633号
免责声明:本网站近期将进行改版,网站所有内容及图片不做为任何法律依据。如有违反或者侵权,请及时联系更改。
网站医疗信息仅供参考,不能作为诊断及医疗依据 本网站内容部分来源转载于网络,不能作为任何法律依据!
请注意时效性,望知悉。如有违反或者侵权,请及时联系更正。