郑州牙齿矫正哪家更好?畸形牙齿很多时候让我们在选择食物的时候,产生了种种的限制,面对美味常常不能享用,而且任其发展下去,则会造成口腔疾病的多发,十分影响我们的生活。所以,及时的矫正畸形牙是很有必要的,那么郑州牙齿矫正哪家更好呢?
中韩·唯美口腔专家介绍:做牙齿矫正前,是不允许有口腔疾病发生的。专业的、负责任的口腔医生在为您做牙齿矫正前,都会将蛀牙、牙龈炎、牙龈出血、牙周炎等口腔疾病处理妥当,才会对您的牙齿进行矫正。所以就需要选择专业责任的口腔医院和医生,牙齿矫正的安全性才会有保障,费用也会更合理。正规医院的矫正材料也更有保障,质量更有保障,对牙齿的损伤降到更小,从长远的角度考虑,择优选择医院还是非常重要的。
中韩·唯美口腔韩式四维矫正让你享受更好的牙齿矫正效果
一、有效降低拔牙率
韩式四维矫正与行业居高不下的拔牙率相比,凭借纯正的欧美技术,将高拔牙率控制在极低的范围,避免许多不必要的拔牙。
二、纳米级透明隐形材料
韩式四维矫正采用纳米技术研制,材料小巧迷你,透明无色。在使用过程中不易沾染食物、不易变色等特点,为你去除牙箍的烦恼。
三、四维技术精细化矫正
韩式四维矫正运用四维矫正先进技术,不仅能做到立体化矫正,而能随时间变化与矫正角度的完美结合,不断改善脸型特征。
四、牙齿矫正与脸型完美结合
韩式四维矫正牙齿矫正过程,结合三庭五眼,制成科学理想的矫正过程,以保证达到理想预定效果。点击在线咨询,与专家直接交流,了解韩式隐形矫正的相关知识!
五、高效便捷,缩短矫治时间
韩式四维矫正治疗相对传统矫正治疗时间更短,复诊间隔次数更少,比传统矫正更短。
六、全程舒适无异物感
韩式四维矫正相对传统矫正治疗,受术者采用韩式四维矫正过程更轻松舒适,避免使用矫治器出现的异物感和其他不适。推荐阅读:韩式隐形矫正
中韩·唯美口腔先引进的韩式隐形正畸技术继承了传统的牙颌畸形矫治的理念,是现代口腔医学、计算机辅助四维诊断、个性化设计及数字化成型技术的完美结合,是正畸领域的新突破。韩式隐形正畸由中韩齿科专家联合坐诊,实现全程无痛无创快速疗法,专门治疗各种牙齿排列不整齐,咬合错位等牙齿形态问题,还你一口整齐、坚固耐用的健康原牙。韩式四维矫正技术是完全个性化的设计理念,可根据正畸者的情况佩带不同的矫治器,完全不影响正畸者的生活。具有隐形高效,稳定美观的特点,并且大大地缩短了疗程,使治疗时间缩短近三分之一,复诊时间缩短二分之一,为正畸者大大节省了时间,透明隐形正畸矫正矫治器厚度不到1mm,透明、光滑、舒适,无异物感和粘膜刺激,是目前更受欢迎和信赖的美齿项目。点击在线咨询,了解牙齿矫正的优惠信息!在线预约可享更多优惠!
中韩·唯美口腔牙齿矫正专家推荐

李玉如,口腔正畸科。副教授,副主任医师,硕士生导师,口腔医学正畸专业硕士。1991年毕业于中山医科大学口腔系,一直从事口腔正畸的临床、教学和科研工作,临床经验丰富,并注重知识的学习更新,2004年硕士学位毕业。
擅长正畸科各类牙颌畸形及疑难病例的矫治,对青少年反牙合、开牙合、功能性矫治、阻生牙的导萌牵引及成年人牙颌畸形、牙周病的正畸治疗有良好的疗效。
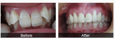
中韩·唯美口腔牙齿矫正前后对比图

如果您还有想要了解的情况,可以点击我们的在线咨询,中韩·唯美口腔的在线专家会给您更专业,更详细的解答,或是拨打我们的24小时康复热线,与专家一对一详解。
相关感兴趣文章
豫公网安备 41010502002633号
免责声明:本网站近期将进行改版,网站所有内容及图片不做为任何法律依据。如有违反或者侵权,请及时联系更改。
网站医疗信息仅供参考,不能作为诊断及医疗依据 本网站内容部分来源转载于网络,不能作为任何法律依据!
请注意时效性,望知悉。如有违反或者侵权,请及时联系更正。