成人矫正是否合适?随着生活和工作中对形象的要求越来越高,很多成年人显得十分焦虑,特别是一些牙齿畸形的患者。很多成人担心自己的年龄过大,牙齿排列基本成型,很难再做矫正治疗了,那么成人矫正是否合适?
但是,成年人矫正牙齿较儿童慢而且困难,主要是因为:
1、成年人生长发育停止,牙齿移动缓慢,所需要的治疗时间长,而且易于复发,需要保持的时间也长。
2、成年人常常患有口腔疾病,如龋病、牙周病、颞下颌关节疾病等,使治疗复杂化,如果用力不当会加重牙周损害,所以对治疗技术要求更高。了解更多成人矫正,点击在线咨询,直接与专家相互交流,详细咨询!
专家提醒:虽然成人矫正牙齿有诸多的不利因素,但是矫正的生物医学基础就是牙槽骨的改建,而人的牙槽骨一生都在不断的改建,因此,成人和儿童一样也是完全可以做矫正治疗的。国外报道甚至有70岁以上的矫治病例。
中韩·唯美口腔牙齿矫正技术推荐
韩式四维隐形正畸技术是完全个性化的设计理念,可根据正畸者的情况佩带不同的矫治器,完全不影响正畸者的生活。具有隐形高效,稳定美观的特点,并且大大地缩短了疗程,使治疗时间缩短近三分之一,复诊时间缩短二分之一,为正畸者大大节省了时间,透明韩式四维隐形正畸矫正矫治器厚度不到1mm,透明、光滑、舒适,无异物感和粘膜刺激,是目前更受欢迎和信赖的美齿项目。推荐阅读:韩式隐形正畸
中韩·唯美口腔牙齿矫正专家推荐

李玉如,口腔正畸科。副教授,副主任医师,硕士生导师,口腔医学正畸专业硕士。1991年毕业于中山医科大学口腔系,一直从事口腔正畸的临床、教学和科研工作,临床经验丰富,并注重知识的学习更新,2004年硕士学位毕业。擅长正畸科各类牙颌畸形及疑难病例的矫治,对青少年反牙合、开牙合、功能性矫治、阻生牙的导萌牵引及成年人牙颌畸形、牙周病的正畸治疗有良好的疗效。点击在线咨询,了解牙齿矫正的优惠信息!在线预约可享更多优惠!
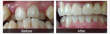
中韩·唯美口腔牙齿矫正前后对比图

温馨提示:以上是关于成人矫正的介绍,希望对大家有所帮助,如果您觉得我们的文章并没有解释得很清楚,或有其他问题,您可以点击我们的在线咨询专家,中韩·唯美口腔会给您一个专业的分析,详细的解答,并给您一个满意的答复!
相关感兴趣文章
豫公网安备 41010502002633号
免责声明:本网站近期将进行改版,网站所有内容及图片不做为任何法律依据。如有违反或者侵权,请及时联系更改。
网站医疗信息仅供参考,不能作为诊断及医疗依据 本网站内容部分来源转载于网络,不能作为任何法律依据!
请注意时效性,望知悉。如有违反或者侵权,请及时联系更正。