哪些牙齿畸形成年人需要矫正?牙齿排列不整齐,往往在交往中使个人形象大打折扣,因此交谈中不敢张嘴,性格也变得内向不自信起来,但大多数成人都没有想到通过牙齿矫正来改善,那么哪些牙齿畸形成年人需要矫正?
中韩·唯美口腔医院专家表示,成年人通过矫治,完全可以拥有健康美观的牙齿。以前来医院做牙齿矫正的都是儿童和青少年,近几年来,成年人多了起来,大概每10位患者中就有3位是成年人,其中以在校大学生、教师、公务员居多。
牙齿矫正给自己的形象加分,三种类型的牙齿畸形需要进行矫正:
1、牙齿排列不齐,如拥挤、外翻、牙轴偏斜,虎牙;
2、上下牙弓关系紊乱,如牙齿之间间隙大、上前牙突出(又叫龅牙)等;
3、颌面部发育畸形,如反颌(又称地包天,兜齿)等,这些牙齿畸形都需要治疗。了解更多成人矫正,点击在线咨询,直接与专家相互交流,详细咨询!
很多人都认为牙齿排列不齐是小问题,至多影响外观,这个观点是错误的。牙齿排列不齐是一种病,它影响面部美观和发育,累及牙体及牙周组织健康,影响口腔卫生护理,更重要的是影响人的心理健康。
中韩·唯美口腔牙齿矫正技术推荐
韩式四维隐形正畸技术是完全个性化的设计理念,可根据正畸者的情况佩带不同的矫治器,完全不影响正畸者的生活。具有隐形高效,稳定美观的特点,并且大大地缩短了疗程,使治疗时间缩短近三分之一,复诊时间缩短二分之一,为正畸者大大节省了时间,透明韩式四维隐形正畸矫正矫治器厚度不到1mm,透明、光滑、舒适,无异物感和粘膜刺激,是目前更受欢迎和信赖的美齿项目。推荐阅读:韩式隐形正畸
中韩·唯美口腔牙齿矫正专家推荐

李玉如,口腔正畸科。副教授,副主任医师,硕士生导师,口腔医学正畸专业硕士。1991年毕业于中山医科大学口腔系,一直从事口腔正畸的临床、教学和科研工作,临床经验丰富,并注重知识的学习更新,2004年硕士学位毕业。擅长正畸科各类牙颌畸形及疑难病例的矫治,对青少年反牙合、开牙合、功能性矫治、阻生牙的导萌牵引及成年人牙颌畸形、牙周病的正畸治疗有良好的疗效。点击在线咨询,了解牙齿矫正的优惠信息!在线预约可享更多优惠!
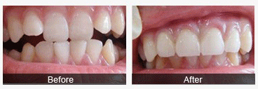
中韩·唯美口腔牙齿矫正前后对比图

温馨提示:中韩·唯美口腔现在开通网络预约就诊功能,患者可以通过网络预约来院进行咨询,预约后,凭预约短信享受优惠,无需排队挂号,减少您的就诊时间。更多相关信息,欢迎在线咨询专家。
相关感兴趣文章
豫公网安备 41010502002633号
免责声明:本网站近期将进行改版,网站所有内容及图片不做为任何法律依据。如有违反或者侵权,请及时联系更改。
网站医疗信息仅供参考,不能作为诊断及医疗依据 本网站内容部分来源转载于网络,不能作为任何法律依据!
请注意时效性,望知悉。如有违反或者侵权,请及时联系更正。