郑州补一颗门牙要多少钱?口腔是个比较容易出现问题的地方,这些问题中,大部分问题来自于牙齿。因为牙齿美观度直接影响到个人形象。门牙缺失是更影响形象的情况,那么在郑州补一颗门牙要多少钱呢?
中韩·唯美口腔专家介绍:生活中的意外或者是口腔疾病,导致牙齿脱落的现象不在少数,很多门牙缺失患者都来找我们,看看能不能补上,问的更多的就是价格。这里要告诉各位的是,补一颗门牙的价格是不确定的,不同的人在不同的医院选择不同的补牙技术,都是一些到价格的主要因素。不过这里提醒各位,补门牙不能贪便宜。门牙的位置特殊性,让我们一定要选择好一点的镶牙方式。这里我推荐种植牙。
【为什么选种植牙】
一、自然稳固:由于是植入在牙槽骨上,种植牙较为牢固稳定,这一优点在咀嚼食物时特别突出。
二、美观大方:种植完成后牙齿感觉跟自然牙一样。完全媲美真牙。
三、安全无副作用:无需住院,手术过程完全无痛,术后即可进食。并无异物感,对邻牙也无伤害。推荐阅读:亲骨超导种植技术
中韩·唯美口腔独家引进的亲骨超导即刻种植是采用普兰梅卡口腔全景机进行3D口腔CT成像,根据自身牙体骨骼或以自身骨组织系数来定制骨粉,比起传统的人造骨粉,更加精确无误,而且生物相容性更好、更稳定牢固、愈合更迅速。由于3D口腔CT成像的直接应用,使亲骨种植技术大大的提高了,并象征着口腔种植领域的发展,迈出了革命性的一步。点击在线咨询,了解种植牙的优惠信息!在线预约可享更多优惠!
中韩·唯美口腔牙齿种植专家推荐

徐雅轩,国内著名CAM/CAD修复专家,精湛技术:牙齿矫正、牙齿美容修复、1小时德国西诺德CAD/CAM3D齿雕全瓷修复。毕业于南京医科大学口腔专业,长期从事口腔种植临床工作,在部队三甲医院工作多年,拥有多年深厚的口腔种植与研究经验。曾应邀参加瑞士ITI种植培训、德国西诺德3D齿雕培训,并出任多国种植集团特邀医师。其娴熟的种植技术和丰富的临床经验有机结合,注重从顾客的角度为出发点制定治疗方案,行医严谨,待人真诚,让广大缺牙顾客重新拥有完美的牙齿,深得顾客好评。
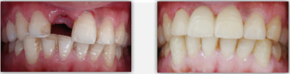
中韩·唯美口腔牙齿种植前后对比图

如果您觉得我们的文章没有解释的很清楚,或者还有其他疑问,您可以直接点击我们的在线咨询医生,中韩·唯美口腔专业咨询医生会给您耐心的,详细的解答,并给您一个满意的答复!
相关感兴趣文章
豫公网安备 41010502002633号
免责声明:本网站近期将进行改版,网站所有内容及图片不做为任何法律依据。如有违反或者侵权,请及时联系更改。
网站医疗信息仅供参考,不能作为诊断及医疗依据 本网站内容部分来源转载于网络,不能作为任何法律依据!
请注意时效性,望知悉。如有违反或者侵权,请及时联系更正。