郑州氟斑牙治疗费用是多少?牙齿变色之后通过日常的刷牙是无法把牙齿变白的,需要通过牙齿美白才能恢复我们的牙齿颜色。氟斑牙是一种常见的地区性牙齿变色情况,那么通过牙齿美白来治疗氟斑牙的费用是多少呢?
郑州治疗氟斑牙的费用是多少呢?中韩·唯美口腔的专家指出,氟斑牙的治疗费用不是统一的,需要根据具体的情况而定。一般来说,影响氟斑牙治疗费用的因素主要是求美者牙齿的基础条件、治疗的时间以及选择的医院。所以氟斑牙的价格需要根据这些因素来定。
轻度氟斑牙表现为釉质表面出现像白色粉笔样的不透明的斑块即白垩状斑块,但釉质仍有硬度和光泽。可以采用彩光美白治疗方式,彩光美白采用低温冷光,完全避免了操作过程中对牙神经的损害,对牙齿结构不会造成损害。操作过程仅需30分钟,美白效果可维持2年以上。
中重度氟斑牙即着色和缺损都比较严重,牙釉质出现黄褐色或暗棕色斑块,多数牙甚至全口牙出现黄褐色斑块,同时有线状、点状或窝沟状缺损,凹陷内有较深的染色,牙面失去光泽。这种情况应该选择烤瓷牙来修复。烤瓷牙是近几年开展的一种高科技的镶牙方法,修复后牙齿表面光滑,色泽稳定,抗折耐磨,和真牙难分真假。烤瓷牙治疗氟斑牙多少钱还需要根据选择的烤瓷牙材质而定。推荐阅读:3D全瓷牙
中韩·唯美口腔拥有的3D全瓷牙采用更高端的氧化锆材料,运用先进的CT三维数字扫描技术、电脑智能CAD/CAM系统设计,在短时间内根据患者的口腔条件、脸型、肤色,量身定做个性化全瓷牙修复美容方案。3D全瓷牙拥有完美的精密度;具有真牙相匹配的透光性,色泽逼真,可媲美自然牙;良好的生物相容性,对牙龈无刺激;强度绝佳,强度超出真牙,拥有卓越的咬合力量,无不良金属离子渗出,磨牙较少,更大程度地保留原有的牙齿组织,所以能达到更佳的美齿效果及与软组织的更舒适接触。点击在线咨询,了解全瓷牙的优惠信息!在线预约可享更多优惠!
中韩·唯美口腔牙齿美容专家推荐

莫三心教授,主任医师,硕士研究生导师。唯美口腔特邀专家,河南省口腔医学领域知名专家、郑州大学知名教授。精湛技术:牙齿种植、口腔修复、牙齿美容修复曾多次获得卫生部及省市各级表彰。主编多部并且参与编写多部国家医学教材,发表学术论文20余篇。擅于口腔修复,并涵盖口腔专业各个领域,可谓是大师级的口腔专家,在国内口腔界享有很高的声望。
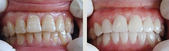
中韩·唯美口腔牙齿美容前后对比图

在线咨询,一分钟预约挂号,医务人员将会与您一对一进行沟通。中韩·唯美口腔有中国更专业的网上挂号平台,为您提供更便捷的预约就诊服务,为您推荐全国资质更深、技术更好的治疗专家,让你从此刻开始摆脱疾病的困扰。
豫公网安备 41010502002633号
免责声明:本网站近期将进行改版,网站所有内容及图片不做为任何法律依据。如有违反或者侵权,请及时联系更改。
网站医疗信息仅供参考,不能作为诊断及医疗依据 本网站内容部分来源转载于网络,不能作为任何法律依据!
请注意时效性,望知悉。如有违反或者侵权,请及时联系更正。