抽烟牙齿变黄怎么办?虽然吸烟有害身体健康,可是生活中还是不乏抽烟族的存在,甚至很多女性也有吸烟的习惯,长期的抽烟会导致牙齿变色,甚至发黄发黑,这对于爱美的人们来说,是很大的伤害,那么抽烟牙齿变黄怎么办?
抽烟牙齿变黄怎么办?冷光美白是采用先进技术将高强度蓝光经特殊处理,可有效去除四环素牙、增龄性变色牙、氟斑牙、茶渍牙及其他变色牙牙齿表面及深层附着的色素,特别是黄牙,因此可以选择冷光美白解决抽烟引起的黄牙现象。
冷光牙齿美白技术革命性提炼出更柔和高效的美白科技,能迅速催化牙体活化剂,在牙体表层建立美白作用通道,使美白成分快速作用于牙体,通过物理还原作用,将牙齿表面和牙本质深层沉积色素彻底祛除,并有效缓解传统冷光美白在诊疗过程中带来的牙齿酸软等不适反应。
冷光美白牙齿技术很安全,光束轻柔而高效,避免了传统冷光美白诊疗过程中对牙神经的不适,亲水性药物和完全不接触牙龈的美白过程,不会造成对牙齿及珐琅质的任何损伤。为了保持它的良好效果,一定要做好相关的护理工作,以免牙齿美观再次受到损伤。了解更多牙齿美白,点击在线咨询,直接与专家相互交流,详细咨询!
相对于普通的牙齿美白法来说,冷光美白技术能有效去除牙齿上的色斑,而且效果也相当持久,但也不能忽视了日常的清洁工作。
中韩·唯美口腔牙齿美白技术推荐
美国360°彩光美白剂是基于冷光美白研发出的更新技术产品,美白过程中无刺激、无副作用,安全呵护牙齿结构和珐琅质,经实验对比,产品优于目前市场上任何冷光牙齿美白剂,在美国,已有超过100万以上的人采用了此种美白剂进行牙齿美白,因此被公认是目前更有效及更安全的牙齿脱色美白剂。推荐阅读:360°彩光美白
中韩·唯美口腔牙齿美白专家推荐

程玲,口腔执业医师,精湛技术:牙齿美容、牙齿矫正、1小时德国西诺德CAD/CAM3D齿雕全瓷修复。毕业于河南医科大学,先后在华西口腔医学院及三级甲等医院口腔中心工作,积累了丰富的临床经验。在固定修复、美齿美白方面技艺精湛有着突出优势,曾参与中韩美容整形峰会,并于核心期刊发表论文多篇。该医师技术娴熟,操作规范轻柔,行医严谨,待人真诚,已成功完成近千例的牙齿美容修复,深得患者好评。点击在线咨询,了解牙齿美白的优惠信息!在线预约可享更多优惠!
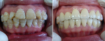
中韩·唯美口腔牙齿美白前后对比图

中韩·唯美口腔专家提醒患者:一定要选择正规口腔医院做冷光美白,正规医院的医生技术、医疗设备等都是有保障的。更多牙齿美白的相关问题,请点击专家在线咨询。
相关感兴趣文章
豫公网安备 41010502002633号
免责声明:本网站近期将进行改版,网站所有内容及图片不做为任何法律依据。如有违反或者侵权,请及时联系更改。
网站医疗信息仅供参考,不能作为诊断及医疗依据 本网站内容部分来源转载于网络,不能作为任何法律依据!
请注意时效性,望知悉。如有违反或者侵权,请及时联系更正。