做烤瓷牙的危害是什么?烤瓷牙修复牙齿问题的技术虽然说已经逐渐成熟,但是由于不正规的门诊越来越多,烤瓷牙技术的运用也就出现了许多问题。比如说在不正规的地方做烤瓷牙就会产生一些危害。下面我们来了解一下。
做烤瓷牙的危害是什么?
1、烤瓷牙修复体需要磨除一定的牙体组织,个别需要破坏牙髓。
2、非贵金属烤瓷牙是由镍铬合金制成的金属内冠外高温烤瓷而成,由于其价格相对较低,因此目前在我国应用较多。但是,这种烤瓷牙存在以下缺点:边缘密合性差;与人体的生物相容性差,部分患者配戴一段时间后颈缘处的牙龈组织会出现“黑线”,在国外甚至还有此类烤瓷牙引发的过敏反应的病历报道;再者,由于镍铬合金与瓷的热膨胀系数不匹配,所以临床上较容易出现崩瓷现象。
3、感染问题:不是每个人都适合做烤瓷牙的。如果口腔环境不好(例如牙周炎、牙龈出血、牙龈肿胀等),容易引起感染。另外牙齿和牙冠密合不好时也容易引起继发牙病。另外连体烤瓷牙容易引起继发牙病。推荐阅读:3D全瓷牙
中韩·唯美口腔拥有的3D全瓷牙采用更高端的氧化锆材料,运用先进的CT三维数字扫描技术、电脑智能CAD/CAM系统设计,在短时间内根据患者的口腔条件、脸型、肤色,量身定做个性化全瓷牙修复美容方案。3D全瓷牙拥有完美的精密度;具有真牙相匹配的透光性,色泽逼真,可媲美自然牙;良好的生物相容性,对牙龈无刺激;强度绝佳,强度超出真牙,拥有卓越的咬合力量,无不良金属离子渗出,磨牙较少,更大程度地保留原有的牙齿组织,所以能达到更佳的美齿效果及与软组织的更舒适接触。点击在线咨询,了解全瓷牙的优惠信息!在线预约可享更多优惠!
中韩·唯美口腔牙齿美容专家推荐

艾西川,主任医师,精湛技术:颌面外科、牙齿美容、1小时德国西诺德CAD/CAM3D齿雕全瓷修复。毕业于中国口腔著名学府——西安第四军医大学,原南京军区口外知名专家,郑州市口腔医院院长。从事口腔全科临床工作三十余年,对口腔内外科有丰富的临床经验,拥有万例成功案例。曾获市级科研成果奖两项,省级三项,多部专著被列为医大教材,在国内外知名刊物上发表专业论文20余篇,多次应邀参加国内外口腔大型研讨会,于口腔治疗方面有独到的治疗方法,深受客人好评。
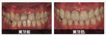
中韩·唯美口腔牙齿美容前后对比图

在线咨询,一分钟预约挂号,医务人员将会与您一对一进行沟通。中韩·唯美口腔有中国更专业的网上挂号平台,为您提供更便捷的预约就诊服务,为您推荐全国资质更深、技术更好的治疗专家,让你从此刻开始摆脱疾病的困扰。
相关感兴趣文章
豫公网安备 41010502002633号
免责声明:本网站近期将进行改版,网站所有内容及图片不做为任何法律依据。如有违反或者侵权,请及时联系更改。
网站医疗信息仅供参考,不能作为诊断及医疗依据 本网站内容部分来源转载于网络,不能作为任何法律依据!
请注意时效性,望知悉。如有违反或者侵权,请及时联系更正。