什么人适合做烤瓷修复?牙齿是我们饮食的主要咀嚼工具,对于爱好美食的人来说,更是非常重要,很多牙齿缺损的人想选择烤瓷牙来修复牙齿,恢复牙齿功能,却不知道适不适合,那么什么人适合做烤瓷修复?
一般情况下,以下几种牙齿症状适合做烤瓷牙:
1、牙齿缺失,而且缺失的较少,邻牙健康,没有炎症或虽有但经过治疗已得到控制,经医生检查后可进行烤瓷修复。
2、牙齿颜色或形态不佳,如四环素牙,椎形牙。
3、牙列不齐有不宜做正畸治疗的患者,可考虑做烤瓷修复。
4、因外伤折段的牙齿或残留的牙根,如牙根有足够的长度,牙周情况又较好时,经过完善的根管治疗,可进行烤瓷修复。了解更多烤瓷牙,点击在线咨询,直接与专家相互交流,详细咨询!
5、因龋齿等原因牙齿缺损较大,牙齿变色,可通过烤瓷牙恢复美观及功能。
中韩·唯美口腔牙齿美容技术推荐
中韩·唯美口腔拥有的3D全瓷牙采用更高端的氧化锆材料,运用先进的CT三维数字扫描技术、电脑智能CAD/CAM系统设计,在短时间内根据患者的口腔条件、脸型、肤色,量身定做个性化全瓷牙修复美容方案。3D全瓷牙拥有完美的精密度;具有真牙相匹配的透光性,色泽逼真,可媲美自然牙;良好的生物相容性,对牙龈无刺激;强度绝佳,强度超出真牙,拥有卓越的咬合力量,无不良金属离子渗出,磨牙较少,更大程度地保留原有的牙齿组织,所以能达到更佳的美齿效果及与软组织的更舒适接触。推荐阅读:3D全瓷牙
中韩·唯美口腔牙齿美容专家推荐

莫三心教授,主任医师,硕士研究生导师。唯美口腔特邀专家,河南省口腔医学领域知名专家、郑州大学知名教授。精湛技术:牙齿种植、口腔修复、牙齿美容修复曾多次获得卫生部及省市各级表彰。主编多部并且参与编写多部国家医学教材,发表学术论文20余篇。擅于口腔修复,并涵盖口腔专业各个领域,可谓是大师级的口腔专家,在国内口腔界享有很高的声望。点击在线咨询,了解牙齿美容的优惠信息!在线预约可享更多优惠!
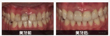
中韩·唯美口腔牙齿美容前后对比图

温馨提示:以上内容就是对烤瓷牙相关问题的介绍,相信大家看过之后,已经有了一定的了解了,希望对大家能有所帮助。如果你还有什么疑问,欢迎咨询我们中韩·唯美口腔的在线医师,我们会竭诚为您服务。
相关感兴趣文章
豫公网安备 41010502002633号
免责声明:本网站近期将进行改版,网站所有内容及图片不做为任何法律依据。如有违反或者侵权,请及时联系更改。
网站医疗信息仅供参考,不能作为诊断及医疗依据 本网站内容部分来源转载于网络,不能作为任何法律依据!
请注意时效性,望知悉。如有违反或者侵权,请及时联系更正。