烤瓷牙哪家医院好,当出现意外导致牙齿缺损时,大部分人都会选择使用烤瓷牙来进行牙齿的修复。那么烤瓷牙的价格是多少?下面听听郑州唯美口腔医院专家的介绍。

郑州唯美口腔医院专家介绍说,烤瓷牙的价格并不一定。烤瓷牙的价格一般从几百元到上千元不等,具体与患者的口腔状况等等有关。那么烤瓷牙的价格是多少?
一、烤瓷牙的价格与品质的不同有关:
不同材质它的物理性能,化学性能,生物相容性,美观性等都有很大区别,其价格都是有差异的。
二、烤瓷牙的价格与不同的医生有关:
医生的经验、职称、受教育背景不同决定了其产品的质量,质量不一样,一颗烤瓷牙的价格当然也不一样。
三、烤瓷牙的价格与不同的医院有关:
每一间牙科硬件投入和软件建设肯定不一样,技术、质量、信誉、服务也不仅相同,那么一颗烤瓷牙的价格肯定也不同。
四、烤瓷牙的价格与不同的加工厂有关:
即使同一品质烤瓷牙也因为所含贵金属比例不一样其加工费也不一样。
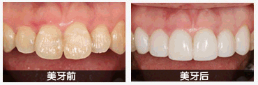
专家提醒:一般来说烤瓷牙以全瓷烤瓷牙为更佳,其与真牙极为相似的外观与功能都使得它备受患者的亲睐。
郑州唯美口腔医院推荐--3D全瓷牙
郑州唯美口腔拥有的3D全瓷牙采用更高端的氧化锆材料,运用先进的CT三维数字扫描技术、电脑智能CAD/CAM系统设计,在短时间内根据患者的口腔条件、脸型、肤色,量身定做个性化全瓷牙修复美容方案。
3D全瓷牙拥有完美的精密度;具有真牙相匹配的透光性,色泽逼真,可媲美自然牙;良好的生物相容性,对牙龈无刺激;强度绝佳,强度超出真牙,拥有卓越的咬合力量,无不良金属离子渗出,磨牙较少,更大程度地保留原有的牙齿组织,所以能达到更佳的美齿效果及与软组织的更舒适接触。
四大优势
1、色泽自然逼真
2、全瓷内冠更健康
3、牙冠制作更精确
4、不易崩瓷更稳定
郑州唯美口腔医院,私立口腔,品质保障
郑州唯美口腔医院是一家集医疗、教学、科研为一体的国家私立医院,口腔中心作为医院重点科室更是经过多年实施规范化管理,引进专业技术人才和先进设备,同时医院收费价格都是严格执行国家规定的收费标准进行收费,所以费用方面要比其它营利性机构价格低,实质性地帮助百姓节省医疗开支。
烤瓷牙哪家医院好,如果您对以上的内容,还有任何不明白的地方,欢迎点击在线咨询,与专家进行一对一交流,同时网上咨询预约,还可享免挂号费,无需排队优先就诊服务。
相关感兴趣文章
豫公网安备 41010502002633号
免责声明:本网站近期将进行改版,网站所有内容及图片不做为任何法律依据。如有违反或者侵权,请及时联系更改。
网站医疗信息仅供参考,不能作为诊断及医疗依据 本网站内容部分来源转载于网络,不能作为任何法律依据!
请注意时效性,望知悉。如有违反或者侵权,请及时联系更正。