门牙用全瓷牙修复怎么样?如果说眼睛是一个人的心灵之窗的话那么门牙就是形象的门户,门牙不但辅助沟通和咀嚼,使交流方便,饮食畅快,而且门牙是口腔健康的守门员,如果门牙缺损,应当及时修复,而全瓷牙是牙齿修复中较为理想的一种,那么门牙用全瓷牙修复怎么样?

口腔医院专家介绍,门牙用全瓷牙修复是比较理想的一种修复方法,全瓷牙顾名思义就是全部用瓷做成的修复体,其美观度优于烤瓷牙。门牙一般不需要研磨食物,对修复材料的强度要求不是特别高,而对美观的要求更高,全瓷牙刚好可以满足这些需求。全瓷牙的“进化”就在于强度的不断加强,以适应更多需求。
那么,全瓷牙除了能修复门牙外,还适合修复哪些牙齿呢?口腔医院专家指出:
1、镶复缺牙:对于缺少的牙齿,利用缺牙前后的牙齿做固位牙,加上缺牙将几个全瓷牙冠连在一起,将其粘固在固位牙上,便可以镶复缺牙。
2、牙齿治疗后修复:很多牙齿治疗后会留下牙齿问题,如牙髓治疗后易造成牙齿变色,补料脱落及牙齿折裂,选用原生态全瓷全冠修复可避免。
3、矫正牙齿发育异常:对于不正常的牙齿发育,如过小牙,牙间隙宽,个别牙不齐,釉质发育不全等,这些通过原生态烤瓷牙修复后可以把牙齿的形态、颜色恢复到理想状态。全瓷牙,在牙齿修复和牙齿美容领域均为理想。推荐阅读:做全瓷牙后如何护理
4、牙齿发黄发黑的现象:如四环素牙、锥形小牙等,都可通过全瓷牙修复来改善。
由于烤瓷牙始终需要以金属为支架,要么难以避免牙龈变色(即使是贵金属合金),对牙龈造成刺激;要么由于有金属基底,其通透性不够的问题难以解决,仍然不够逼真。因此,修复门牙目前一般都推荐用全瓷牙,一是考虑到牙龈变色的问题,二是考虑到修复体通透性和外观色泽问题。想了解全瓷牙还有哪些优势,点击在线咨询,在线医生给您一个准确的答复!
技术推荐—3D全瓷牙技术
中韩·唯美口腔拥有的3D全瓷牙采用更高端的氧化锆材料,运用先进的CT三维数字扫描技术、电脑智能CAD/CAM系统设计,在短时间内根据患者的口腔条件、脸型、肤色,量身定做个性化全瓷牙修复美容方案。3D全瓷牙拥有完美的精密度;具有真牙相匹配的透光性,色泽逼真,可媲美自然牙;良好的生物相容性,对牙龈无刺激;强度绝佳,强度超出真牙,拥有卓越的咬合力量,无不良金属离子渗出,磨牙较少,更大程度地保留原有的牙齿组织,所以能达到更佳的美齿效果及与软组织的更舒适接触。
中韩·唯美口腔牙齿修复专家推荐

莫三心教授,主任医师,硕士研究生导师。唯美口腔特邀专家,河南省口腔医学领域知名专家、郑州大学知名教授。口腔修复、牙齿矫正修复曾多次获得卫生部及省市各级表彰。主编多部并且参与编写多部国家医学教材,发表学术论文20余篇。擅于口腔修复,并涵盖口腔专业各个领域,可谓是大师级的口腔专家,在国内口腔界享有很高的声望。
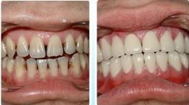
中韩·唯美口腔牙齿修复前后对比
如果您觉得我们的文章没有解释的很清楚,或者还有其他疑问,您可以直接点击我们的在线咨询医生,中韩·唯美口腔医院专业咨询医生会给您耐心的,详细的解答,并给您一个满意的答复!
相关感兴趣文章
豫公网安备 41010502002633号
免责声明:本网站近期将进行改版,网站所有内容及图片不做为任何法律依据。如有违反或者侵权,请及时联系更改。
网站医疗信息仅供参考,不能作为诊断及医疗依据 本网站内容部分来源转载于网络,不能作为任何法律依据!
请注意时效性,望知悉。如有违反或者侵权,请及时联系更正。