对牙齿的不经心,很多人都多多少少都受过伤,牙齿缺损导致咬合关系的异常,对饮食和身体都是一种威胁,烤瓷牙是修复牙齿缺损的更好手段,其中效果较好的有二氧化皓全瓷牙,那么二氧化皓全瓷牙的优势有哪些?
二氧化锆全瓷牙不同于金属烤瓷牙,对牙龈完全无刺激、无过敏反应,很适合应用于口腔,幸免了金属在口腔内产生的过敏、刺激、腐蚀等不良反应。具有超强韧性填补了易崩瓷的缺陷,让你不管如何咬牙都无后顾之忧。
二氧化锆全瓷牙的优势:
1、二氧化锆全瓷牙有高密度和高强度:二氧化锆全瓷牙有着独一无二的抗破裂性及破裂后强韧的固化性能。挠曲强度可以达到900Mpa以上,是全瓷牙中硬度更强的。
2、二氧化锆全瓷牙有更佳的生物相容性:二氧化锆是一种很优秀的航天材料,生物相容性好,牙对牙龈无刺激、无过敏反应很适合应用于口腔,避免了传统金属烤瓷牙在口腔内产生的过敏、刺激、腐蚀等不良反应,更加美观。更多了解烤瓷牙,点击在线咨询,直接与专家相互交流,详细咨询!
3、二氧化锆全瓷牙更具可靠性:氧化锆全瓷牙无金属异味,与空气、水或其它任何电解质接触时会迅速产生微氧化膜,不仅避免金属腐蚀,更能防止金属异味的产生。减少了口腔异味,让你更加自信。
中韩·唯美口腔牙齿美容技术推荐
中韩·唯美口腔拥有的3D全瓷牙采用更高端的氧化锆材料,运用先进的CT三维数字扫描技术、电脑智能CAD/CAM系统设计,在短时间内根据患者的口腔条件、脸型、肤色,量身定做个性化全瓷牙修复美容方案。3D全瓷牙拥有完美的精密度;具有真牙相匹配的透光性,色泽逼真,可媲美自然牙;良好的生物相容性,对牙龈无刺激;强度绝佳,强度超出真牙,拥有卓越的咬合力量,无不良金属离子渗出,磨牙较少,更大程度地保留原有的牙齿组织,所以能达到更佳的美齿效果及与软组织的更舒适接触。推荐阅读:3D全瓷牙
中韩·唯美口腔牙齿美容专家推荐

莫三心教授,主任医师,硕士研究生导师。唯美口腔特邀专家,河南省口腔医学领域知名专家、郑州大学知名教授。精湛技术:牙齿种植、口腔修复、牙齿美容修复曾多次获得卫生部及省市各级表彰。主编多部并且参与编写多部国家医学教材,发表学术论文20余篇。擅于口腔修复,并涵盖口腔专业各个领域,可谓是大师级的口腔专家,在国内口腔界享有很高的声望。点击在线咨询,了解牙齿美容的优惠信息!在线预约可享更多优惠!
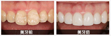
中韩·唯美口腔牙齿美容前后对比图

温馨提示:为了达到理想的效果,一定要先到医院检查,以便利于专家为您提供个人化设计的美齿方案。更多疑问敬请咨询中韩·唯美口腔医院的在线专家,亦或直接预约来院让专家现场诊断。
相关感兴趣文章
豫公网安备 41010502002633号
免责声明:本网站近期将进行改版,网站所有内容及图片不做为任何法律依据。如有违反或者侵权,请及时联系更改。
网站医疗信息仅供参考,不能作为诊断及医疗依据 本网站内容部分来源转载于网络,不能作为任何法律依据!
请注意时效性,望知悉。如有违反或者侵权,请及时联系更正。