做全瓷牙有哪些特点?美观的牙齿可以让我们个人的整体形象变得更加的有魅力,对于大多数我们遇到的牙齿问题,我们都可以通过全瓷牙进行修复。那么做全瓷牙有哪些特点呢?下面跟随郑州知名口腔科专家来了解一下。
做全瓷牙有哪些特点
中韩·唯美口腔专家介绍:全瓷牙因为它对光线通透性良好,与真牙接近,并可根据各个患者自身条件选择。由于陶瓷的基底冠颜色是牙白色,所以镶入一段时间后不会变黑变暗发青,解决了金属烤瓷冠更难解决的问题。其特点主要有:
1、不会造成磨损:烤瓷冠的硬度大于牙釉质,可造成对颌牙的磨损。而全瓷的硬度与牙釉质近似,不对颌牙造成磨损。
2、牙龈不变色:金属在口腔内容易氧化形成灰黑色氧化物,沉积到牙龈边缘,引起原因变灰,影响美观,全瓷没有这种问题。
3、牙龈健康:镍铬金属又俗称贱金属,对牙龈的刺激比较严重,部分人(特别是女性)对其过敏,造成牙龈肿胀、出血,甚至有患者对贵金属也过敏,全瓷则基本没有发现敏感病例。
4、内外冠结合:金属和瓷的结合是薄弱的一环,主要是靠化学结合力,经常可以见到瓷和金属剥离,露出灰黑的金属的情况。全瓷则是内外冠都是瓷,瓷和瓷的结合不会出现这种况。
5、透明:采用的技术是金属与瓷的结合,内冠金属的颜色,需用不透明遮色瓷覆盖金属基底,影响修复体的透明度。全瓷牙则用良好的透明性与折光性和高强度的内冠解决了这一题,使牙颈部也能达到良好的美观效果。推荐阅读:3D全瓷牙
中韩·唯美口腔拥有的3D全瓷牙采用更高端的氧化锆材料,运用先进的CT三维数字扫描技术、电脑智能CAD/CAM系统设计,在短时间内根据患者的口腔条件、脸型、肤色,量身定做个性化全瓷牙修复美容方案。3D全瓷牙拥有完美的精密度;具有真牙相匹配的透光性,色泽逼真,可媲美自然牙;良好的生物相容性,对牙龈无刺激;强度绝佳,强度超出真牙,拥有卓越的咬合力量,无不良金属离子渗出,磨牙较少,更大程度地保留原有的牙齿组织,所以能达到更佳的美齿效果及与软组织的更舒适接触。点击在线咨询,了解全瓷牙的优惠信息!在线预约可享更多优惠!
中韩·唯美口腔牙齿美容专家推荐

艾西川,主任医师,精湛技术:颌面外科、牙齿美容、1小时德国西诺德CAD/CAM3D齿雕全瓷修复。毕业于中国口腔著名学府——西安第四军医大学,原南京军区口外知名专家,郑州市口腔医院院长。从事口腔全科临床工作三十余年,对口腔内外科有丰富的临床经验,拥有万例成功案例。曾获市级科研成果奖两项,省级三项,多部专著被列为医大教材,在国内外知名刊物上发表专业论文20余篇,多次应邀参加国内外口腔大型研讨会,于口腔治疗方面有独到的治疗方法,深受客人好评。
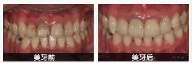
中韩·唯美口腔牙齿美容前后对比图

如有有任何疑问,你可在线咨询得到想要的蜕变答案,中韩·唯美口腔专家会根据您的实际情况为您推荐更好的治疗方案并为您申请专项优惠。
相关感兴趣文章
豫公网安备 41010502002633号
免责声明:本网站近期将进行改版,网站所有内容及图片不做为任何法律依据。如有违反或者侵权,请及时联系更改。
网站医疗信息仅供参考,不能作为诊断及医疗依据 本网站内容部分来源转载于网络,不能作为任何法律依据!
请注意时效性,望知悉。如有违反或者侵权,请及时联系更正。