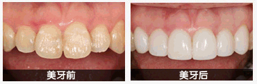
一个二氧化锆烤瓷牙套多少钱,现在做烤瓷牙的人越来越多,价格也都不一样,所以很多人对于烤瓷牙的价格都很迷茫,那么,一个二氧化锆烤瓷牙套多少钱。下面听听郑州唯美口腔医院的介绍。

二氧化锆是一种很优秀的高科技生物材料。由它制作的烤瓷牙-牙龈边缘无黑线,无厚重感,无牙龈红肿出血现象,让你真正感觉到烤瓷牙是从你自己的牙龈里长出来的。无不良金属离子渗出影响你健康。磨牙较少,更大程度地保留自己的牙齿组织。二氧化锆烤瓷牙具有极高的品质,说其品质高不仅因为其材料,设备昂贵,更因为其运用了当今更先进的计算机辅助设计、激光扫描,再由计算机程序控制研磨制作而成,尽显完美。
1、与患者口腔健康状况有关:有的患者有口腔疾病,做烤瓷牙必须先只好口腔疾病。因为每个患者的口腔健康状况不同,所以烤瓷牙的价格也不同。
2、与选择的医院有关:烤瓷牙的医院也会影响到烤瓷牙的价格,医院的设施、环境以及制作烤瓷牙的技术都是会对一个烤瓷牙的价格有影响。
中韩·唯美口腔拥有的3D全瓷牙采用更高端的二氧化锆材料,运用先进的CT三维数字扫描技术、电脑智能CAD/CAM系统设计,在短时间内根据患者的口腔条件、脸型、肤色,量身定做个性化全瓷牙修复美容方案。
3D全瓷牙拥有完美的精密度;具有真牙相匹配的透光性,色泽逼真,可媲美自然牙;良好的生物相容性,对牙龈无刺激;强度绝佳,强度超出真牙,拥有卓越的咬合力量,无不良金属离子渗出,磨牙较少,更大程度地保留原有的牙齿组织,所以能达到更佳的美齿效果及与软组织的更舒适接触。
四大优势
1、色泽自然逼真
2、全瓷内冠更健康
3、牙冠制作更精确
4、不易崩瓷更稳定
一个二氧化锆烤瓷牙套多少钱,以上就是对“一个二氧化锆烤瓷牙套多少钱”的简单介绍,如果还有什么疑问,可以点击我们的在线专家,将为您提供详细的解答。
相关感兴趣文章
豫公网安备 41010502002633号
免责声明:本网站近期将进行改版,网站所有内容及图片不做为任何法律依据。如有违反或者侵权,请及时联系更改。
网站医疗信息仅供参考,不能作为诊断及医疗依据 本网站内容部分来源转载于网络,不能作为任何法律依据!
请注意时效性,望知悉。如有违反或者侵权,请及时联系更正。