郑州补牙多少钱?大家应该都有这种感觉,工作中如果哪个职位要是因为什么原因没有人,我们大概能暂时代替或者坚持几天,但是如果时间长了就不行了,工作效率就不会高,组织运转不良。我们身体也是一样,上帝造人的时候各个器官部位责任都已经划分完毕,只能各司其职,疾病或者其他原因让某些部位功能不能正常发挥作用都会让身体有这样那样的不适,所以面对身体的问题我们都应该持及早发现、及早治疗,对于各种原因导致的牙齿缺失等也是如此,也应当采取适合自己的方案进行补牙,郑州牙科医院那么多,那么郑州补牙大概多少钱?下面由中韩唯美口腔医院的医生为我们简单介绍下补牙价钱:
不是所有牙齿都需要补牙,需要补牙的牙齿有哪些
中韩唯美口腔医院专家指出,哪些情况需要补牙呢?凡因龋齿、楔状缺损、外伤等造成牙体组织缺损者都需要修补,以恢复其外形和功能。为了防止病变继续发展,应尽早补牙。因为龋洞经过治疗后可以阻止龋病病变的发展,及早恢复牙齿的功能及美观,保持牙列的完整,避免牙齿的过早丧失。现在郑州各医院或各种补牙费用不尽相同,通常由以下原因造成。
郑州补牙多少钱由您决定
1.与您的牙齿损坏程度有关
牙齿损坏的程度一般按牙洞的大小来定义,一般医生会根据牙洞的大小来定补一颗牙齿要多少钱,所以如果你发现自己有了牙洞,一定要尽早治疗,否则牙洞发展的越来越大,补牙收费也越来越贵。中韩唯美口腔的医生会根据您的牙齿情况制定出一套合适您的补牙方案,确保牙齿安全的更大化,效果的更大化和刺激的更小化。推荐阅读:补牙应该选择什么材料好
如果牙齿坏到了一定程度,就不是单纯的补牙就可以了,需要根管治疗,那么价格就要贵了,而且根据牙位不同也会有差异。
2.与您选择补牙材料有关
据专家指出:不管是直接补牙还是做彻底的根管治疗后的补牙,都有许多材料供患者选择。补牙的材料分为好多种,补一颗牙齿要多少钱也各有不同。中韩唯美口腔会按照材料的不同特点给您推荐一款更适合的补牙材料,不会让你多花一分冤枉钱。如何选择适合自己的补牙材料,点击在线咨询与专家进行交流!
3.与您所选医院有关
医院的设备、设施以及所在区域也都是影响补牙费用的直接原因。不过通常情况下,专业医院在严格遵循当地收费标准下,是可以避免及防止出现乱收费的情况的。不正规的医院通常使用的设备比较落后,而且消毒设施不很齐全,这样很容易造成牙齿的感染,而中韩唯美口腔率先引进德国西诺德牙科诊疗机,德国脉动真空灭菌器,德国数字化曲面断层X线机,芬兰全景X射线机,德国全智能头颅测量仪,德国3D齿雕系统等先进设备,这些设备都被誉为设备中航空母舰,而且中韩唯美口腔遵循郑州收费标准,价格更透明。
可见郑州补牙多少钱受到很多因素的影响,但是相对于健康来说,补牙的钱贵也贵不到那去,是普通家庭都能承受的起的。
补牙,美齿,矫正一举三得就选美容冠
郑州唯美口腔医院专家指出,美容冠具有美牙不拔牙,无痛苦,时间短,牙齿坚固,多年后牙龈不会出现黑线等优点,从而达到终生有保障的美牙效果。在临床牙齿美容上,制作的美容冠与普通烤瓷牙更大区别在于制作速度不同,做牙齿美容采用3D美容冠只需要1个小时就带来美牙效果,只需一个小时在牙椅旁等待即可完成制备、制作、戴牙,真正做到立取可戴,对牙龈无刺激,其光学性质、生物相容性绝佳,色冷逼真,无牙龈黑线现象,因此更接近天然牙。
中韩唯美引进的美容冠技术采用的是口腔界非常先进的数码科技,这种技术可以非常精确的分析牙齿的整个形态,并且可以根据牙齿的牙冠,牙颈和牙根这三个部位的形态,解决3D的定位系统,由专业的美容冠的专家为每一位朋友做无二的美牙方案!美容冠补牙能取得什么样的效果呢?点击在线咨询!
好的护理是补牙后牙齿能够使用更久的秘诀
1、对于龋坏较为严重的大面积缺损的牙,牙体修复后往往由于牙体本身抗力不足,在咀嚼时易发生牙折,为此,这类牙齿补牙后应根据医师的建议及时做患牙的壳冠保护,以防牙冠折。
2、如果补牙后如出现轻微的疼痛,可先行自我观察,有的轻微不适及疼痛可白行消失。如疼痛非但不减轻,反面进一步加重或出现咬合痛、跳痛、冷热刺激痛、夜间自发性疼痛时,应及时去医院复诊检查治疗,以查明病因,消除疼痛。
3、按医师约定的时间及时复诊。
(1)一周内勿用粗硬牙刷刷修复体表面,因光固化其树脂固化程度只有50%,24小时内可达90%,7天后才达大多数。
(2)不用修复体咬硬物,少饮浓茶,少抽烟,忌用金属。
4、听从医嘱,不用刚补好的牙咀嚼食物及硬物。补牙后一般应在第2或第3天再用患侧嚼食物为宜,以防牙折及补料脱落。更多补牙后护理事项请点击在线咨询,与专家一对一交流!
中韩唯美牙齿美容专家推荐

艾西川,副主任医师,精湛技术:牙齿美容、1小时德国西诺德CAD/CAM3D齿雕全瓷修复。毕业于中国口腔著名学府——西安第四军医大学,原南京军区口外知名专家,郑州市口腔医院院长。从事口腔全科临床工作三十余年,对口腔内外科有丰富的临床经验,拥有万例成功案例。曾获市级科研成果奖两项,省级三项,多部专著被列为医大教材,在国内外知名刊物上发表专业论文20余篇,多次应邀参加国内外口腔大型研讨会,于口腔治疗方面有独到的治疗方法,深受客人好评。
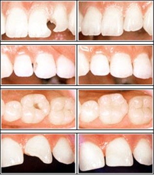
中韩·唯美口腔美容冠补牙前后对比

以上内容就是对郑州补牙多少钱的介绍,相信大家看过之后,对郑州补牙多少钱已经有了一定的了解了,希望对大家能有所帮助。如果你还有什么疑问,欢迎咨询我们的在线医师,我们会竭诚为您服务。
相关感兴趣文章
豫公网安备 41010502002633号
免责声明:本网站近期将进行改版,网站所有内容及图片不做为任何法律依据。如有违反或者侵权,请及时联系更改。
网站医疗信息仅供参考,不能作为诊断及医疗依据 本网站内容部分来源转载于网络,不能作为任何法律依据!
请注意时效性,望知悉。如有违反或者侵权,请及时联系更正。