补门牙用什么材料更好,门牙在我们的牙齿中是占重要部分的,很多人在门牙断裂或者缺失后,就会去医院做门牙的修复,那么,门牙修复用什么材料好呢?

补门牙用什么材料更好
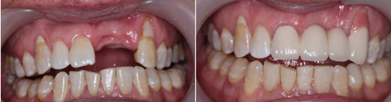
郑州唯美口腔医院介绍说:门牙掉了是可以做全瓷牙的,选择全瓷牙做门牙的修复是较好的,
全瓷牙的优势有:
1、材质的优势:全瓷牙完全由瓷粉构成,耐久性好,在口腔内能永久保存;没有金属基底,质量轻,佩戴更舒服;导热性低,更有利于保护牙髓健康。对光线的反射和散射更接近于天然牙,全瓷牙的色泽无论在灯光下和自然光中都能保持自然色。
2、技术优势:医生将首先对您的牙齿进行周密设计,然后进行精确的打磨、消毒,更后将制作好的烤瓷牙冠粘上去,保证真牙与牙冠间不留缝隙,杜绝细菌的入侵。
补门牙用什么材料更好,郑州唯美口腔拥有的3D全瓷牙采用更高端的氧化锆材料,运用先进的CT三维数字扫描技术、电脑智能CAD/CAM系统设计,在短时间内根据患者的口腔条件、脸型、肤色,量身定做个性化全瓷牙修复美容方案。具有良好的生物相容性,对牙龈无刺激,磨牙较少,保留牙齿组织。通透明亮如天然牙,自然逼真,不易崩瓷更稳定。
补门牙用什么材料更好,唯美专家提醒:首先应选择正规的口腔医院,才能规范、严格的设计、操作、和制作全瓷牙。郑州唯美口腔医院,是一家化口腔私人诊所,是中原地区数字化口腔专业机构。集预防、保健、治疗、修复为一体,与韩国、法国、美国等国家和地区的口腔医疗单位建立了良好的学术交流与技术合作关系。如果有更多的口腔问题,可以点击在线专家咨询,或者拔打我们的免费咨询热线0371-60318899
相关感兴趣文章
豫公网安备 41010502002633号
免责声明:本网站近期将进行改版,网站所有内容及图片不做为任何法律依据。如有违反或者侵权,请及时联系更改。
网站医疗信息仅供参考,不能作为诊断及医疗依据 本网站内容部分来源转载于网络,不能作为任何法律依据!
请注意时效性,望知悉。如有违反或者侵权,请及时联系更正。