牙齿矫正期间的注意事项有哪些?牙齿不齐影响美观、咀嚼和发音,是一件非常令人头疼的事情!如今牙齿矫正已经走入大多数人的生活,众口相传,效果不错,对牙齿不齐患者来说,是期盼已久的福音。牙齿口腔出现问题,要及时要正规的、专业的医院去做诊疗,特别是牙齿不齐者,很多手术前后都需要注意饮食和生活习惯,那么,牙齿矫正期间的注意事项有哪些?
牙齿矫正通过各种矫正装置来调整颜面骨、牙齿、颌面神经肌肉三者之间的平衡和协调。就是说矫正是调整上下颌骨之间,上下牙齿之间、牙齿与颌骨之间和联系它们的神经肌肉之间不正常的关系。为了更好地保证牙齿矫正的效果,爱美者在关心牙齿矫正的费用问题的同时,对于牙齿矫正期间的一些事项也要多加注意:
1、佩戴牙齿矫正器的期间要定期复诊,以配合牙医的观察。
2、日常生活中要保持牙齿矫治器的清洁,选择正确的刷牙方法。
3、当矫正器出现磨牙的现象时要及时到医院处理,不要自行摘除,以免影响牙齿矫正的效果。
4、在佩戴牙齿矫正器的期间不要吃过硬的食物,也不要吃容易粘牙的食物。想要了解更多相关注意事项,点击在线咨询,和专家一对于交谈,详细了解!
中韩·唯美口腔技术推荐
中韩·唯美口腔率先引进的韩式四维隐形正畸技术继承了传统的牙颌畸形矫治的理念,是现代口腔医学、计算机辅助四维诊断、个性化设计及数字化成型技术的完美结合,是正畸领域的新突破。韩式四维隐形正畸由知名专家坐诊,实现全程无痛无创快速疗法,专门治疗各种牙齿排列不整齐,咬合错位等牙齿形态问题,还你一口整齐、坚固耐用的健康原牙。
韩式四维隐形正畸技术是完全个性化的设计理念,可根据正畸者的情况佩带不同的矫治器,完全不影响正畸者的生活。具有隐形高效,稳定美观的特点,并且大大地缩短了疗程,使治疗时间缩短近三分之一,复诊时间缩短二分之一,为正畸者大大节省了时间,透明韩式四维隐形正畸矫正矫治器厚度不到1mm,透明、光滑、舒适,无异物感和粘膜刺激,是目前更受欢迎和信赖的美齿项目。推荐阅读:韩式隐形正畸
中韩·唯美口腔牙齿矫正专家推荐

李玉如,口腔正畸科。副教授,副主任医师,硕士生导师,口腔医学正畸专业硕士。1991年毕业于中山医科大学口腔系,一直从事口腔正畸的临床、教学和科研工作,临床经验丰富,并注重知识的学习更新,2004年硕士学位毕业。擅长正畸科各类牙颌畸形及疑难病例的矫治,对青少年反牙合、开牙合、功能性矫治、阻生牙的导萌牵引及成年人牙颌畸形、牙周病的正畸治疗有良好的疗效。点击在线咨询,了解牙齿矫正的优惠信息!在线预约可享更多优惠!
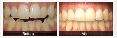
中韩·唯美口腔牙齿矫正前后对比图

温馨提示:如果您对口腔方面还有其他疑问,可直接向我们中韩·唯美口腔医院的在线专家免费咨询!专家届时会针对您的问题,给出专门个人的诊疗方案。欢迎点击在线咨询。
相关感兴趣文章
豫公网安备 41010502002633号
免责声明:本网站近期将进行改版,网站所有内容及图片不做为任何法律依据。如有违反或者侵权,请及时联系更改。
网站医疗信息仅供参考,不能作为诊断及医疗依据 本网站内容部分来源转载于网络,不能作为任何法律依据!
请注意时效性,望知悉。如有违反或者侵权,请及时联系更正。