郑州牙齿矫正费用是多少?畸形的牙齿无疑对于追求形象美的我们是一种阻碍,郑州知名口腔科专家介绍:畸形牙齿的危害远远不止这些,更严重的危害当属对口腔健康的危害。所以及时矫正畸形牙是很重要的,那么郑州牙齿矫正费用是多少呢?
中韩·唯美口腔专家介绍:牙齿矫正就是将牙颌畸形的牙齿进行调整,达到整形美观的功效.一般来说,郑州牙齿矫正多少钱与很多因素都有很大的关系,一般来说,主要有以下几点:
1、每个人牙齿畸形情况不同,治疗难易程度不同,做牙齿矫正的价格也有差别.牙齿整形前期治疗包括检查、拍X光片,设计,有的可能需要拔牙.因此,在牙齿矫正的价格的问题上也是受到手术治疗的方法影响.哪种牙齿矫正方法好呢?点击在线咨询,直接与专家对话,选择适合自己的牙齿矫正方法!
2、牙齿矫正主要通过外科手术的办法,根据事先设计的理想颜面结构关系和比率来重新组合颜面骨骼位置.手术采用局部麻醉,它是通过微创打开牙槽骨(松质骨,血液供应好,愈合快,愈合后无接痕)直接调整牙与颌的关系.
3、整个手术时间大约1个小时.术后面貌即可改观,三天就可以恢复正常饮食.由于手术切口在口腔内,所以牙齿矫正手术后看不出有任何痕迹.随着人们健康意识的提高,对美观的追求,牙齿矫正手术已经成为风靡全国的成人牙齿整形技术.至于牙齿矫正的价格,您可以和您的专业整形师商量.推荐阅读:韩式隐形正畸
中韩·唯美口腔率先引进的韩式隐形正畸技术继承了传统的牙颌畸形矫治的理念,是现代口腔医学、计算机辅助四维诊断、个性化设计及数字化成型技术的完美结合,是正畸领域的新突破。韩式隐形正畸由中韩齿科专家联合坐诊,实现全程无痛无创快速疗法,专门治疗各种牙齿排列不整齐,咬合错位等牙齿形态问题,还你一口整齐、坚固耐用的健康原牙。该技术是完全个性化的设计理念,可根据正畸者的情况佩带不同的矫治器,完全不影响正畸者的生活。具有隐形高效,稳定美观的特点,并且大大地缩短了疗程,使治疗时间缩短近三分之一,复诊时间缩短二分之一,为正畸者大大节省了时间,透明隐形正畸矫正矫治器厚度不到1mm,透明、光滑、舒适,无异物感和粘膜刺激,是目前更受欢迎和信赖的美齿项目。点击在线咨询,了解牙齿矫正的优惠活动!在线预约可享更多优惠!
中韩·唯美口腔牙齿矫正专家推荐

李玉如,口腔正畸科。副教授,副主任医师,硕士生导师,口腔医学正畸专业硕士。1991年毕业于中山医科大学口腔系,一直从事口腔正畸的临床、教学和科研工作,临床经验丰富,并注重知识的学习更新,2004年硕士学位毕业。擅长正畸科各类牙颌畸形及疑难病例的矫治,对青少年反牙合、开牙合、功能性矫治、阻生牙的导萌牵引及成年人牙颌畸形、牙周病的正畸治疗有良好的疗效。
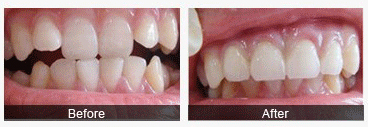
中韩·唯美口腔牙齿矫正前后对比图

如果您觉得我们的文章没有解释的很清楚,或者还有其他疑问,您可以直接点击中韩·唯美口腔的在线咨询医生,我院专业咨询医生会给您耐心的,详细的解答,并给您一个满意的答复!
相关感兴趣文章
豫公网安备 41010502002633号
免责声明:本网站近期将进行改版,网站所有内容及图片不做为任何法律依据。如有违反或者侵权,请及时联系更改。
网站医疗信息仅供参考,不能作为诊断及医疗依据 本网站内容部分来源转载于网络,不能作为任何法律依据!
请注意时效性,望知悉。如有违反或者侵权,请及时联系更正。