牙齿矫正适合哪些人群去做?现在人们的日常交往和生活中,个人的形象越来越受到人们的重视,很多牙齿拥挤不齐的朋友想通过牙齿矫正来改善自己的外表形象,可是并不是每个人都适合去做牙齿矫正,那么牙齿矫正适合哪些人群去做?
牙齿矫正是越来越受人们所关注的一件事情,作为一个爱美的人,你是否也想摆脱你那一口的歪瓜裂枣呢?那牙齿矫正的适合人群有哪些呢?
1、牙齿拥挤患者:表现为牙齿里出外进,不美观,不易清洁,易患龋齿,易形成牙结石,导致牙周疾病;
2、牙间隙患者,表现为牙齿之间缝隙多;了解更多牙齿矫正,点击在线咨询,直接与专家相互交流!
3、颌骨畸形患者:口腔内牙齿上下前后的咬合关系不正常,导致颌骨发生畸形,造成面容变化。
中韩·唯美口腔牙齿矫正技术推荐
韩式四维隐形正畸技术是完全个性化的设计理念,可根据正畸者的情况佩带不同的矫治器,完全不影响正畸者的生活。具有隐形高效,稳定美观的特点,并且大大地缩短了疗程,使治疗时间缩短近三分之一,复诊时间缩短二分之一,为正畸者大大节省了时间,透明韩式四维隐形正畸矫正矫治器厚度不到1mm,透明、光滑、舒适,无异物感和粘膜刺激,是目前更受欢迎和信赖的美齿项目。推荐阅读:韩式隐形正畸
中韩·唯美口腔牙齿矫正专家推荐

李玉如,口腔正畸科。副教授,副主任医师,硕士生导师,口腔医学正畸专业硕士。1991年毕业于中山医科大学口腔系,一直从事口腔正畸的临床、教学和科研工作,临床经验丰富,并注重知识的学习更新,2004年硕士学位毕业。擅长正畸科各类牙颌畸形及疑难病例的矫治,对青少年反牙合、开牙合、功能性矫治、阻生牙的导萌牵引及成年人牙颌畸形、牙周病的正畸治疗有良好的疗效。点击在线咨询,了解牙齿矫正的优惠信息!在线预约可享更多优惠!
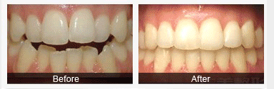
中韩·唯美口腔牙齿矫正前后对比图

温馨提示:通过上述文章的描述,相信大家对牙齿矫正有了更深入的了解,建议大家做好牙齿保健工作,早发现,早治疗,中韩·唯美口腔医院是一家正规、高档的口腔医院具有先进一流的诊疗设备,专业知名的知名医生,实施无痛治疗,满足患者要求,以服务顾客为。唯美口腔真诚欢迎您的咨询!
相关感兴趣文章
豫公网安备 41010502002633号
免责声明:本网站近期将进行改版,网站所有内容及图片不做为任何法律依据。如有违反或者侵权,请及时联系更改。
网站医疗信息仅供参考,不能作为诊断及医疗依据 本网站内容部分来源转载于网络,不能作为任何法律依据!
请注意时效性,望知悉。如有违反或者侵权,请及时联系更正。