无托槽隐形矫正好不好,在我们的印象里面,牙齿矫正就是“铁齿铜牙”,一想到这样的画面,让很多想做牙齿矫正的朋友退缩,结果导致牙齿畸形更加严重,错失更佳的时期。现在有了无托槽隐形矫正技术,似乎所有的问题都解决了。无托槽隐形矫正是牙齿矫正方法的一种,那么,无托槽隐形矫正好不好呢?

郑州唯美口腔的专家介绍,牙齿正畸方法无托槽隐形矫正一改传统正畸过程中“钢丝铁牙”的局面,能在无钢丝、无托槽的状态下完成矫治,让别人看不到您带了牙套矫正的同时,不影响美观,可自行摘带,在不知不觉中恢复正常颌面形态。该技术集美观、舒适、方便、清洁四大优势于一身,广受市民喜爱。
无托槽隐形矫正技术的优点:
美观:几乎完全隐形。您将在别人毫无察觉中完成牙齿矫正,解决了许多患者对矫正牙齿的美观顾虑。
舒适:由于没有传统意义上的托槽、钢丝等矫正装置,矫正过程不再痛苦。对牙周组织的刺激及不适感更低。
方便:可自行摘戴,不影响社交、进食、运动等。同时复诊次数减少,节约您的宝贵时间。
清洁:口腔卫生容易维护,不必担心牙龈炎、牙齿脱矿、变色等问题。推荐阅读:隐形牙齿矫正需要注意什么
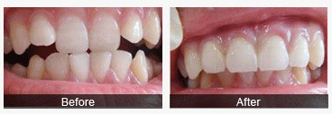
【无托槽隐形矫正技术适应人群】个别牙错位、牙列拥挤、牙齿不整齐、牙间隙、前牙反合、前牙深覆盖、前牙深覆合、下颌短缩面型、双颌前突、口唇前突和前牙开合。
无托槽隐形矫正好不好?通过以上的介绍,想必大家对无托槽隐形也有了一定的了解。郑州牙科医院郑州唯美口腔专家介绍,选择无托槽隐形矫正一定要到专业的口腔医院,可确保矫正效果。如果还有不明白的地方,可在线咨询我们的专家。
相关感兴趣文章
豫公网安备 41010502002633号
免责声明:本网站近期将进行改版,网站所有内容及图片不做为任何法律依据。如有违反或者侵权,请及时联系更改。
网站医疗信息仅供参考,不能作为诊断及医疗依据 本网站内容部分来源转载于网络,不能作为任何法律依据!
请注意时效性,望知悉。如有违反或者侵权,请及时联系更正。