十八岁以后牙齿还能矫正吗,貌美齿为先,齿白七分俏。一口整齐、亮白、健康的好牙齿一直是所有人都追求的目标,但是以前的时候科学还不是很发达,不少人都错过了矫正牙齿的更佳时机,那对于已经18周岁以上的成年人来说,现在还可以做牙齿矫正吗?下面听听郑州唯美口腔医院专家的介绍。

郑州唯美口腔医院专家介绍,成年人的牙齿矫正治疗原则与儿童矫正治疗无异。但由于年龄的差别,成年人的发育旺盛期已经基本结束,错过了更佳的治疗时期,所以治疗所需要的时间会比较长,治疗结束后戴保持器的时间也比较长。
此外,成年人的心理状态与儿童不一样,要求采用比较隐蔽的矫正器具的病人比较多,要求就诊的时间比较特殊,对保守个人隐私的要求比较高。因此,过了18岁矫正牙齿的话建议还是采用时间短效果好的成人矫正技术来解决牙齿问题。
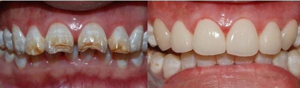
美容冠针对18周岁以上的成人牙齿矫正效果很好。它突破了传统正畸手术治疗,不拔牙无需再戴2-3年牙套。美容冠采用3D数码定位技术,结合脸型、肤色设计美牙方案,矫正后牙齿坚固、美观大方。美牙过程不影响正常饮食,快速恢复,不耽误工作学习,具有美牙不拔牙,无痛苦,时间短,牙齿坚固,多年后牙龈不会出现黑线等优点,是目前成人牙齿矫正的更佳选择。
美容冠适应症:18周岁以上成年人牙列不齐、龅牙、虎牙、地包天、牙齿缺损、牙齿稀疏、老鼠牙、烤瓷牙失败、四环素牙、氟斑牙等牙齿难看问题均可通过美容冠技术找回自信笑容。
郑州唯美口腔医院,私立口腔,品质保障
郑州唯美口腔医院是一家集医疗、教学、科研为一体的国家私立医院,口腔中心作为医院重点科室更是经过多年实施规范化管理,引进专业技术人才和先进设备,同时医院收费价格都是严格执行国家规定的收费标准进行收费,所以费用方面要比其它营利性机构价格低,实质性地帮助百姓节省医疗开支。
十八岁以后牙齿还能矫正吗,如果您对以上的内容,还有任何不明白的地方,欢迎点击在线咨询,与专家进行一对一交流,同时网上咨询预约,还可享免挂号费,无需排队优先就诊服务。
相关感兴趣文章
豫公网安备 41010502002633号
免责声明:本网站近期将进行改版,网站所有内容及图片不做为任何法律依据。如有违反或者侵权,请及时联系更改。
网站医疗信息仅供参考,不能作为诊断及医疗依据 本网站内容部分来源转载于网络,不能作为任何法律依据!
请注意时效性,望知悉。如有违反或者侵权,请及时联系更正。