欢迎进入郑州市金水区唯美口腔

郑州唯美口腔医院周年庆预约专家

郑州唯美口腔医院周年庆在线咨询

郑州唯美口腔医院周年庆免费咨询热线 0371-55019113

网站首页 > 郑州牙齿矫正 > 郑州牙列不齐 >
郑州唯美口腔医院

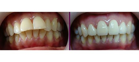
牙齿不整齐如何治疗

来源 :郑州唯美口腔医院        时间:2015-03-13 10:38:22 进入专家答疑区 在线咨询 | 预约专家
  牙齿不整齐如何治疗,由于受先天遗传或者后天环境因素的影响,导致的牙齿、颌骨、颅面的畸形,统称为牙列不齐。牙齿不整齐不仅影响我们的面型美观,严重的话还会影响牙齿的咀嚼功能,不利于口腔清洁,容易患上一系列口腔疾病。因此,牙齿不整齐就要及时矫正。那么,牙齿不整齐如何治疗?通过以下我们来进行详细的了解。
 
  郑州唯美口腔专家介绍,牙与牙之间应该是紧密排列的,没有间隙,将上下颌牙齿咬在一起来看,上面的中线和下面的中线应该是对在一起的,不正常的牙合关系就是牙齿不齐,医学上叫做错颌畸形,我们常看到一些牙齿不齐的现象,如牙齿拥挤、牙齿稀疏、上前牙前突、下前牙前突等现象,都是应该进行口腔正畸的。
牙齿不整齐怎么矫正
 
  牙齿不整齐要如何矫正牙齿不整齐矫正方法
 
  1、传统矫正技术
 
  传统牙套矫正技术的原理就是在牙齿表面黏上牙钉,即牙齿矫正器,再在牙钉上扣上钢线,并以钢线施力来使牙齿移动,令牙齿重新排列。一般预计的正畸疗程是2年左右。而成年人牙根已经停止发育,牙槽骨已经定型,再做牙齿矫正时间会更长些,一般需2-3年左右。
 
  2、美牙冠矫正技术
 
  美牙冠矫正牙齿不齐适用于成年人,它的应用广泛,对于牙齿排列不齐、牙齿稀疏、牙齿排列拥挤、重度四环素牙、氟斑牙、暴牙、个小牙等情况都可以达到非常好的美牙效果。
 
  3、隐形矫正
 
  由于具有几乎完全隐形的优势,能在别人毫无察觉中完成矫正,特别受爱美人士的青睐,而且能自行摘戴利用口腔卫生的维护,但价格相对较贵。还可通过计算机为您演示完整的矫治过程,让您直接看到自己牙齿的改变,并能预览更终矫治效果。推荐阅读:郑州牙齿矫正专科好的医院是哪家
 
  牙齿不整齐如何治疗?通过以上的介绍,想必大家有了一定的了解。郑州牙科医院郑州唯美口腔的专家会全面的检查患者的牙齿情况,然后根据其牙齿情况,制定相应的矫正方案,从而早日恢复整齐的牙齿。如果对牙齿矫正还有什么不明白的地方,可在线在线我们的口腔专家。

浏览本篇文章的网友

27%
选择了:郑州唯美口腔医院
在线医师坐诊,快速悉知病情!
39%
选择了:郑州唯美口腔医院
在线医师坐诊,快速悉知病情!
分享到:郑州唯美口腔医院
郑州唯美口腔医院

扫一扫
把郑州唯美
加为好友

郑州唯美口腔医院

相关感兴趣文章

[field:title/]

郑州种植牙齿需要多长时间

郑州种植牙齿需要多长时间,牙齿一旦出现缺失的情况,对我们的工作和生活都会造成一定的影......[详情]

[field:title/]

郑州种一颗牙的费用是多少

郑州种一颗牙的费用是多少 ,当牙齿缺失的时候,不仅对生活还是学习,都会造成一定的影响......[详情]

[field:title/]

郑州门牙掉了怎么修复

门牙掉了怎么修复,牙齿对我们来说非常重要,不仅对口腔健康有一定的影响,而且还影响自身......[详情]

[field:title/]

郑州哪里种植牙齿医院

随着科学的进步,牙科技术的也不断发展,市面上出现了许多种植牙技术可以供消费者进行选择......[详情]

唯美品牌
郑州唯美口腔医院
  • 时间:10月20日
  • 摘要:唯美口腔加入郑州人民医院医疗集团
  • 地点:郑州唯美口腔
  • 详情 → 咨询 →
郑州唯美口腔医院
  • 时间:每周一、周五亲诊
  • 摘要:矫正专家亲诊
  • 地点:郑州唯美口腔
  • 详情 → 咨询 →
特邀专家

有牙齿困扰 在线找专家

专家热线:0371-55019113

专家团队
精彩专题
> 微创即刻种植牙
> 隐适美隐形矫正
> 360°彩光美白
> 超薄牙贴面
> 3D全瓷牙

豫公网安备 41010502002633号

免责声明:本网站近期将进行改版,网站所有内容及图片不做为任何法律依据。如有违反或者侵权,请及时联系更改。

网站医疗信息仅供参考,不能作为诊断及医疗依据 本网站内容部分来源转载于网络,不能作为任何法律依据!

请注意时效性,望知悉。如有违反或者侵权,请及时联系更正。