立冬过后,寒冷天气来袭,干燥还是伴随左右,体内湿气加重,再加之一些朋友平时不注意口腔防护,口腔溃疡、牙周炎、龋齿、牙齿缺失等口腔疾病层出不穷。专家提醒,平时养成良好的口腔保健习惯,一旦发现有不适症状应及早干预和治疗。
中韩·唯美口腔专家介绍:除了龋病和牙周疾病多发外,牙齿缺失的患者也不在少数,很多人掉了一两颗牙齿并不很在意,殊不知缺牙太久还会对旁边的好牙造成链式影响,牙床也会逐渐萎缩,不仅花费大,还给治疗加大了难度。“牙齿缺失若不及时修复,不仅会影响到美观、咀嚼功能和发音,时间长了,相邻牙齿还会向缺隙倾斜,造成咬合不正,引起脸部歪斜,甚至引起颞颌关节紊变形等。而且,由于缺牙后咀嚼力集中在余留牙齿上,余留牙牙槽骨和其他口腔组织的健康也会受到威胁。”中韩·唯美口腔王天才院长介绍,患者一旦发现牙齿缺失,及早修复很必要。一般建议在缺牙后3个月左右进行修复效果更佳。
中韩·唯美口腔王天才院长提醒,老人身体虚弱,而现在天气转凉,正是开始进补养生的好时机,牙齿缺失对于老人来说,是影响健康的重要原因。加上这一季节有利于种植牙的恢复,并发症几率将大大减少。所以对于老人牙齿缺失来说,秋天更是种植牙的好时节。不过,选择义齿修复,一定要到正规医院的口腔专科或口腔专科医院就诊,以免不规范治疗留下后患。推荐阅读:亲骨超导种植技术
牙齿种植技术推荐——亲骨超导种植技术
中韩·唯美口腔独家引进的亲骨超导即刻种植是采用普兰梅卡口腔全景机进行3D口腔CT成像,根据自身牙体骨骼或以自身骨组织系数来定制骨粉,比起传统的人造骨粉,更加精确无误,而且生物相容性更好、更稳定牢固、愈合更迅速。由于3D口腔CT成像的直接应用,使亲骨种植技术大大的提高了,并象征着口腔种植领域的发展,迈出了革命性的一步。点击在线咨询,了解种植牙的优惠信息!在线预约可享更多优惠!
中韩·唯美口腔牙齿种植专家推荐

郑淳奎,口腔颌面外科硕士、口腔修复医学博士。精堪技术:种植牙修复。毕业于韩国首尔大学牙医学院,1995年赴瑞典皇家学院口腔医学院、美国华盛顿大学口腔医学院求学,先后获得了口腔颌面外科硕士、牙周病学硕士、口腔修复医学博士等学位。回国后将韩国整形医学与德国CEREC 3D数字齿雕系统结合,革新了口腔美容设计的传统治疗方法,获韩国齿周科学会新人学术奖及保健福利部长官奖。2000年又赴德国深造普士即刻种植牙技术,并成为位为德国人实施种植手术的亚洲专家。对各种种植修复技术有很深的造诣,先后在日本齿周科学会、日本齿科学会发表论文,获大韩齿周科学会新人学术奖,获韩国保健福利部长官奖,在韩国牙科界享有很高的美誉。
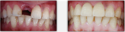
中韩·唯美口腔牙齿种植前后对比图

在线咨询,一分钟预约挂号,医务人员将会与您一对一进行沟通。中韩·唯美口腔拥有中国更专业的网上挂号平台,为您提供更便捷的预约就诊服务,为您推荐全国资质更深、技术更好的治疗专家,让你从此刻开始摆脱疾病的困扰。
相关感兴趣文章
豫公网安备 41010502002633号
免责声明:本网站近期将进行改版,网站所有内容及图片不做为任何法律依据。如有违反或者侵权,请及时联系更改。
网站医疗信息仅供参考,不能作为诊断及医疗依据 本网站内容部分来源转载于网络,不能作为任何法律依据!
请注意时效性,望知悉。如有违反或者侵权,请及时联系更正。