欢迎进入郑州市金水区唯美口腔

郑州唯美口腔医院周年庆预约专家

郑州唯美口腔医院周年庆在线咨询

郑州唯美口腔医院周年庆免费咨询热线 0371-55019113

首页 > 郑州牙齿修复 > 烤瓷牙 >
郑州唯美口腔医院

烤瓷牙多少钱一颗

来源 :郑州唯美口腔医院        时间:2013-08-14 16:12 进入专家答疑区 在线咨询 | 预约专家

  烤瓷牙是一种比较理想的修复体,不但拥有金属全冠的强度还有全瓷全冠的美观,而且适用范围广,颜色外观逼真、耐磨性强、材料性能稳定、咀嚼功能好,因此受到了广大爱牙人士的广泛好评,不过大家也十分关注烤瓷牙的费用,那么,烤瓷牙多少钱一颗?

  烤瓷牙是目前比较常用的牙齿修复方法,镶烤瓷牙需要多少钱受很多因素影响,如烤瓷牙的材料、医院以及医生等因素,接下来,我们就来详细了解一下。

  ,烤瓷牙的材料影响着烤瓷牙的价格,烤瓷牙的材料有很多种类,好的烤瓷牙材料不仅制作的更加美观,以后使用寿命也会更长,所以价格肯定会高一些。

  第二,选择的医院影响着烤瓷牙的价格,品牌医院不论设备、环境、医生技术等都比普通的医院要好,费用也会相对的要高一些,但是正规医院治疗效果更有保障。

  第三,地域性的差价,经济发达的地方,消费水平也高,那治疗费用跟普通的地方价格肯定也不相同。

  第四,患者自身的口腔情况,口腔是否健康、是否有其他的口腔疾病等都影响着烤瓷牙的治疗费用。想了解中韩·唯美口腔烤瓷牙具体价格,点击在线咨询,在线医生给那您一个满意的答复!

  中韩·唯美口腔医院致力于现代牙科诊疗及时尚牙齿美容,为了让更多的人享受到高质量的口腔治疗服务,为倾力打造中国一流的专业牙科,郑州唯美口腔正不懈努力,并长期与韩国著名口腔美容机构合作。同时并倡导:病人至上、精益求精、恪守诚信、敬人敬业,真诚贴心的服务。推荐阅读:用心呵护口腔健康

  怎么选择烤瓷牙的种类

  一、贵金属合金烤瓷牙的主要成分是黄金与白金,颜色比同类产品更坚固,更具生物相容性,使用安全,对人体无害。这种烤瓷牙价格较贱金属烤瓷牙贵,但也是一般大众所能接受的价格,并不是高不可及的程度,对于求美者而言,这种烤瓷牙是比较理想的修复体。

  二、非贵金属烤瓷牙,更早的烤瓷牙多用镍铬合金,相对比较经济,但是由于镍铬合金理化性质相对不是很稳定,镍元素缓慢释放,会致牙龈炎、牙龈出血、口腔异味、牙龈缘变黑等,所以目前多采用钛合金、贵金属、全瓷等材质的烤瓷牙。

  三、全瓷牙是在外观和性能上更优越于金属烤瓷牙的品种,它们更大的区别在于内冠。全瓷的内冠是瓷,是一种透明的骨架。它的层次、色泽更接近真牙,对牙龈没有刺激,对光线的反射更接近天然牙。其绝佳的光学性质、极好的生物相容性、逼真的色泽,看上去要比金属烤瓷牙更自然、更美观、基本没有过敏。哪种烤瓷牙的种类适合你呢?点击在线咨,与专家直接对话了解详情!

  中韩·唯美牙齿美容专家推荐

  

  艾西川,副主任医师,精湛技术:颌面外科、牙齿美容、1小时德国西诺德CAD/CAM3D齿雕全瓷修复。毕业于中国口腔著名学府——西安第四军医大学,原南京军区口外知名专家,郑州市口腔医院院长。从事口腔全科临床工作三十余年,对口腔内外科有丰富的临床经验,拥有万例成功案例。曾获市级科研成果奖两项,省级三项,多部专著被列为医大教材,在国内外知名刊物上发表专业论文20余篇,多次应邀参加国内外口腔大型研讨会,于口腔治疗方面有独到的治疗方法,深受客人好评。点击在线咨询,了解烤瓷牙的优惠信息!

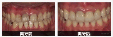
  中韩·唯美口腔牙齿修复前后对比图

  温馨提示:为了更好方便于广大朋友,我院诊疗中心推出网络挂号预约系统,在网站上挂号成功后可减免专家挂号费,并有优惠。预约时间就诊更方便快捷,省去看专家要排队的烦恼。

浏览本篇文章的网友

27%
选择了:郑州唯美口腔医院
在线医师坐诊,快速悉知病情!
39%
选择了:郑州唯美口腔医院
在线医师坐诊,快速悉知病情!
分享到:郑州唯美口腔医院
郑州唯美口腔医院

扫一扫
把郑州唯美
加为好友

郑州唯美口腔医院

相关感兴趣文章

郑州哪里陶瓷牙齿

郑州哪里陶瓷牙齿

郑州哪里陶瓷牙齿好 不少人都知道陶瓷牙效果好,寿命长,美观得体,想为自己的缺牙美...[详情]

郑州医院烤瓷牙多少钱

郑州医院烤瓷牙多少钱

郑州医院烤瓷牙多少钱,很多身边的朋友都存在牙齿缺失问题,常见原因都是蛀牙引发的牙...[详情]

做烤瓷牙套要多少钱

做烤瓷牙套要多少钱

做烤瓷牙套要多少钱, 由于一些外在的因素,导致我们需要去做烤瓷牙来修复牙齿,可是我...[详情]

烤瓷牙哪家医院好?

烤瓷牙哪家医院好?

现在社会中我们的生活越来越好对于自己的牙齿慢慢关注的越来越多,大家通常对于做烤瓷...[详情]

唯美品牌
郑州唯美口腔医院
  • 时间:10月20日
  • 摘要:唯美口腔加入郑州人民医院医疗集团
  • 地点:郑州唯美口腔
  • 详情 → 咨询 →
郑州唯美口腔医院
  • 时间:每周一、周五亲诊
  • 摘要:矫正专家亲诊
  • 地点:郑州唯美口腔
  • 详情 → 咨询 →
特邀专家

有牙齿困扰 在线找专家

专家热线:0371-55019113

专家团队
精彩专题
> 微创即刻种植牙
> 隐适美隐形矫正
> 360°彩光美白
> 超薄牙贴面
> 3D全瓷牙

豫公网安备 41010502002633号

免责声明:本网站近期将进行改版,网站所有内容及图片不做为任何法律依据。如有违反或者侵权,请及时联系更改。

网站医疗信息仅供参考,不能作为诊断及医疗依据 本网站内容部分来源转载于网络,不能作为任何法律依据!

请注意时效性,望知悉。如有违反或者侵权,请及时联系更正。