氟斑牙是怎么形成的?变色的牙齿让我们在微笑的时候失去了太多美丽的光彩,形象问题得不到良好的树立,非常不利于我们的工作;除此之外,口腔的健康还要遭受着很大的威胁。氟斑牙就是常见的一种变色现象,那么氟斑牙是怎么形成的呢?
氟斑牙的病因有哪些
1、饮水高氟区,饮用水是摄入氟的一个更大来源,水氟摄入是按:①人的年龄;②气候条件③饮食习惯而综合决定的。水氟的更适浓度主要又取决于当地的年平均更高气温,美国为0.7~1.2ppm;上海约为0.7ppm。我国地域辽阔,南北气温相差甚大,因此不能只有一个适宜浓度。故我国现行水质标准氟浓度为0.5~1ppm应是适宜的。
2、食物中氟化物的吸收,取决于食物中无机氟化物的溶解度,以及钙的含量。如果加入钙的化合物,则氟的吸收就显著减少。上海牙齿美白医院动物实验证实:充分的维生素A、D和适量的钙、磷,可减轻氟对机体的损害。这说明含氟量过高,并不是造成氟牙症的原因,因为水中含氟量稍高的地区,也不是人人皆罹患氟斑牙。
3、使用含氟牙膏虽能有效防治龋齿,但同时具有副作用,如果使用不当,易导致氟斑牙。
4、氟的防龋作用与产生毒性之间的界限很小,摄入过量的氟会使牙齿产生一些斑点,这就是氟斑牙。严重时可使牙齿变黄,表面粗糙,容易缺损。你的氟斑牙成因是什么呢?点击在线咨询直接与专家对话了解详情!
如何诊断氟斑牙
1、釉质发育不全白垩色斑的周界比较明确,而且其纹线与釉质的生长发育线相平行吻合;氟斑牙为长期性的损伤,故其斑块呈散在的云雾状,周界不明确,并与生长发育线不相吻合。
2、釉质发育不全可发生在单个牙或一组牙;而氟斑牙发生在多数牙,尤以上颌前牙为多见。
3、氟斑牙患者可有在高氟区的生活史。
氟斑牙如何治疗?治疗氟斑牙的方法有以下两种:
1、轻度、中度氟斑牙的治疗方法——彩光美白。彩光美白的操作时间不用很长,仅需30分钟。采用低温冷光,完全避免了操作过程中对牙神经的刺激。美白剂的主要成分过氧化氢,安全使用在牙齿脱色上已有数十年之久。在亲水性药物和完全不接触牙龈的美白过程中,对牙齿结构及珐琅质不会造成任何伤害。一次性、无刺激、无副作用的美白效果可持续两年以上,因此被公认是目前更有效及更安全的牙齿脱色美白技术。
中韩·唯美口腔的360°彩光美白技术是一项正流行于欧美的更新兴的牙齿美白技术,它将高强度彩光定点照射,它不仅可以去除牙齿表面的色素沉积,及深层所附着的色素,美白效果持久有效,仅需短短的30分钟,即可让您拥有一口润白亮泽的牙齿。具有持久、自然、快速、专业、安全等五大优势。推荐阅读:美国360°彩光美白
适用范围:一般外因性色素牙(咖啡、茶渍、烟渍沉积、槟榔染色)、中轻度四环素牙、氟斑牙、药物性变色牙、遗传性黄牙等外源性和内源性牙齿颜色难看问题。
2、重度氟斑牙的治疗方法——美容冠。“美容冠”牙齿美容技术在流行于欧美、日韩的一种新兴牙齿美容技术,在传统烤瓷牙的基础上强调牙齿的美容效果,对错位牙、畸形牙、氟斑牙等色素牙的临床冠部分施以专业手段,更后用美容冠加以修复。具有美牙不拔牙,无痛苦,时间短,牙齿坚固,多年后牙龈不会出现黑线等优点,从而达到终生有保障的美牙效果。
中韩·唯美口腔引进的3D美牙冠它突破传统烤瓷牙的各种弊端,强调牙齿的美容效果,对错位牙、色素牙、畸形牙的临床冠部分施以专业手段,更后用美牙冠加以修复。具有美牙不拔牙,无痛苦,时间短,牙齿坚固,只需一小时,还你整齐洁白牙齿。多年后牙龈不易出现黑线等优点,从而达到终身有保障的美容效果。
美白效果:和传统的烤瓷牙技术相比较,德国3D美容冠技术不仅拥有完美的口腔抗压强度,无需担心瓷崩坏而且效果自然,有透光性。你的氟斑牙是哪种情况呢?点击在线咨询与专家一对一的交流了解详情!
中韩·唯美口腔牙齿美白专家推荐

程玲,口腔执业医师,精湛技术:牙齿美容、牙齿矫正、1小时德国西诺德CAD/CAM3D齿雕全瓷修复。毕业于河南医科大学,先后在华西口腔医学院及三级甲等医院口腔中心工作,积累了丰富的临床经验。在固定修复、美齿美白方面技艺精湛有着突出优势,曾参与中韩美容整形峰会,并于核心期刊发表论文多篇。该医师技术娴熟,操作规范轻柔,行医严谨,待人真诚,已成功完成近千例的牙齿美容修复,深得患者好评。点击在线咨询,了解氟斑牙美白的优惠信息!
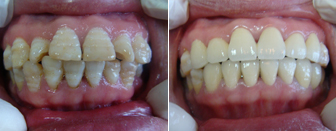
中韩·唯美口腔牙齿美白前后对比图

如果您觉得我们的文章没有解释的很清楚,或者还有其他疑问,您可以直接点击中韩·唯美口腔的在线咨询医生,我院专业咨询医生会给您耐心的,详细的解答,并给您一个满意的答复!
豫公网安备 41010502002633号
免责声明:本网站近期将进行改版,网站所有内容及图片不做为任何法律依据。如有违反或者侵权,请及时联系更改。
网站医疗信息仅供参考,不能作为诊断及医疗依据 本网站内容部分来源转载于网络,不能作为任何法律依据!
请注意时效性,望知悉。如有违反或者侵权,请及时联系更正。