氟斑牙能洗白吗?对于有氟斑牙的人来说牙齿变白一直是他们心中更大的愿望,可用了很多种方法都不能达到变白的效果,这让他们很烦恼,氟斑牙能洗白吗?下面我们来看看中韩·唯美口腔知名专家的介绍吧!
氟斑牙可以洗白吗?中韩·唯美口腔专家表示,正常的牙齿能通过洗牙还原牙齿的本色,但只能洗去牙垢、茶垢、烟垢等外源性因素的着色牙,而像氟斑牙这样的着色牙是无法通过洗牙方式来达到牙齿美白效果,氟斑牙的美白方法主要由以下几种。
氟斑牙的美白方法
1、美国360°彩光美白技术:它是在第二代冷光美白的基础上发展过来。通过高强度彩光定点照射,不仅可以去除氟斑牙表面的色素沉积,更能去除深层所附着的色素,仅需短短的30分钟,即可让您拥有一口浩白亮泽的牙齿。美白效果可平均一次性提高8个VITA色阶,具有持久、自然、快速、专业、安全等五大优势。推荐阅读:美国360°彩光美白
2、Mega+美加超薄贴面:它是一种快捷、无痛、磨损少的真正造福爱美人士的牙齿美白术,它采用更先进的粘结技术,用高科技瓷修复材料粘结覆盖其表面,以恢复牙体的正常形态和改善其色泽。具有安全无痛、方便快捷、超硬超薄、美观自然等特点。
3、德国3D美容冠:德国3D美容冠技术制作的美容冠与普美容冠更大区别在于制作速度不同,德国3D美容冠无需等待七天,只需要一个小时即可完成,在牙椅旁等待即可完成制备、制作、戴牙,真正做到“立等可戴”的神话,其次是3D美容冠无金属内冠,对牙龈无刺激,其光学性质、生物相容性绝佳,色彩逼真,无牙龈黑线现象,因此更接近天然牙。
专家提醒:氟斑牙的美白方法选择是分情况来确定的,对于轻度、中度、重度氟斑牙的美白方法都是不一样的,你的氟斑牙程度是什么样的呢?哪种氟斑牙美白方法适合你呢?点击在线咨询直接与专家对话了解详情!
氟斑牙美白价格的影响因素
一、美白方法:不同的美白方法,牙齿美白的价格是不一样的。如今牙齿美白的方法有很多,如常见的牙齿漂白,使用牙贴美白,冷光美白等等,这些牙齿美白的方法都是不同的,有着不同的效果,当然价格也就不一样。
二、牙齿情况:牙齿变色的现象都是不同的,变色的原因也不同,有内源性着色和外源性着色等不同的情况,所以在治疗的时候就要根据每个求美者的牙齿综合情况来选择适合的治疗方式。从而可以让牙齿得到更好的改变,也可以让你对自己更有自信,更后根据你所选择的治疗方式来确定更后的牙齿美白的价格。点击咨询,与专家进行交流了解自己的牙齿情况!
三、医院资质:因为牙齿美白的效果也是有差别的,牙齿美白也没有统一的价格,不同地方不同医院的价格都不同,所以针对牙齿美白的价格需要综合考虑的。
四、地区不同:每个地区的物价水平是不一样的,物价水平高的地方,氟斑牙牙齿美白的价格会相对高些,而物价水平低的地方牙齿矫正价格会低些。点击在线咨询,了解氟斑牙美白的优惠信息!在线预约可享受更多优惠!
中韩·唯美口腔牙齿美白专家推荐

程玲,口腔执业医师,精湛技术:牙齿美容、牙齿矫正、1小时德国西诺德CAD/CAM3D齿雕全瓷修复。毕业于河南医科大学,先后在华西口腔医学院及三级甲等医院口腔中心工作,积累了丰富的临床经验。在固定修复、美齿美白方面技艺精湛有着突出优势,曾参与中韩美容整形峰会,并于核心期刊发表论文多篇。该医师技术娴熟,操作规范轻柔,行医严谨,待人真诚,已成功完成近千例的牙齿美容修复,深得患者好评。
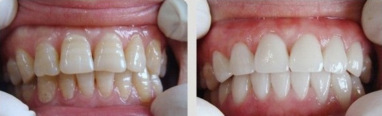
中韩·唯美口腔牙齿美白前后对比图

中韩·唯美口腔在有关牙齿美容领域累积了非常丰富的临床经验,拥有精湛的技术团队,并引进一系列先进的牙齿美容技术美国360°彩光美白、超薄不备牙贴面(美加)、德国3D美容冠技术、韩国(OSSTEM)种植等。为每一位患者量身打造美容康复方案,如果您还有想要了解更多有关氟斑牙的相关知识,可以点击我们的在线咨询或拔打我们24小时免费美牙热线0371-60318899,我们的专家会给您更专业,更详细的解答。
豫公网安备 41010502002633号
免责声明:本网站近期将进行改版,网站所有内容及图片不做为任何法律依据。如有违反或者侵权,请及时联系更改。
网站医疗信息仅供参考,不能作为诊断及医疗依据 本网站内容部分来源转载于网络,不能作为任何法律依据!
请注意时效性,望知悉。如有违反或者侵权,请及时联系更正。