儿童氟斑牙怎么治疗?孩子都是父母掌心的宝,任何想要危害孩子健康的疾病,父母都会坚决肯定的不答应,但是有些疾病却是在不知不觉中形成的,让做父母的我们防不胜防,口腔疾病中的氟斑牙就是常见的一种情况,那么儿童氟斑牙怎么治疗呢?
中韩·唯美口腔专家介绍:氟斑牙又称斑釉或黄斑牙,是一种与饮用水中氟含量过高有关的牙齿疾病,儿童在七、八岁前牙齿发育钙化期如饮用含氟量过高的水或者使用过量的含氟牙膏可能危害牙胚的造釉细胞,是一种牙齿发育钙化期中摄入氟量过高而致的釉质发育不全。该病属于一种地方病,其发病有很大的区域性。氟斑牙其实也是轻度氟中毒的表现,严重的氟中毒可以引起骨骼发生氟性骨硬化(氟骨症)。
儿童氟斑牙的治疗方法
1、磨除法:适用于着色浅的牙齿,用牙科砂轮或磨石磨去少量着色的釉质。
2、5~8%稀盐酸脱色法:先用棉球擦于牙面,再用棉球保护牙龈。然后用棉棒或小棉球蘸5~8%稀盐酸涂擦牙面10分钟,每周一次。轻者3~5次,重者7~8次可完全脱色。
蘸稀盐酸的小棉球在酒精灯上加热后再涂擦,脱色效果会更好些。次脱色时可磨脱结合,即先用砂轮磨去一薄层(1~2层报纸厚)着色牙面(只磨一次),再进行稀盐酸脱色可缩短疗程。脱色时不要蘸稀盐酸过多,以免流到牙龈上,腐蚀牙龈。已有釉质缺损者只能用光敏、贴面、塑料甲冠或烤瓷冠修复。
3、使用儿童专用的牙齿美白牙膏刷牙,如奥乐V儿童护牙剂。可重塑牙釉质,通过修复牙釉质受损部位来美白牙齿。
4、轻或有着色无缺损的可以采用漂白脱色法脱色。
5. 对于比较严重的氟斑牙则可以选用贴面治疗。但是儿童牙齿非常的脆弱,准备进行修复或贴面治疗宝宝牙齿需要先咨询有关专家。保护孩子健康成长,关注儿童口腔健康,点击在线咨询,直接与专家对话了解更多的儿童氟斑牙应对方法!
儿童氟斑牙,是由于小孩在7岁以下时生活在高氟区,或是饮用含氟量过高的水引起的。儿童氟斑牙是氟中毒的一种症状,具有不可逆性。患有氟斑牙的儿童即使以后迁居非高氟区,由于牙齿的钙化障碍已经形成,恒牙萌出后仍可出现氟斑牙表现。由此可见,儿童氟斑牙的预防是非常重要的。推荐阅读:儿童牙齿健康中心
儿童氟斑牙的预防
氟斑牙更根本的预防办法是改良水源,降低饮水中氟的含量。除饮水之外,大气中环境氟化物的污染及含氟量过高的食品等也应加以治理。氟斑牙是慢性地方性氟中毒更敏感而突出的症状,其临床表现主要为白垩、着色、缺损。氟斑牙的棕黄色着色和不规则的釉质缺损,不但影响美观,而且对患者造成了心理上的负担。另外,儿童氟斑牙预防要做到以下几点:
1. 改水改灶。改良水质可以采用改换水源和降低饮水含氟量的方法。改换水源是废弃原来含氟高的水源,寻找含氟量低的水源。降低饮水含氟量就是采用某些化学药品,或物理学方法,使水源中氟浓度降低。为防止煤烟熏炕食物所致的氟中毒,应改变食物的干燥方法,同时搞好炉灶改良,防止室内空气污染。
2、 防止工业污染在工业生产过程中所产生的有害的氟化物,必须加以无害化处理。
3、6岁以下儿童不使用含氟牙膏刷牙。更多关于氟斑牙的预防知识,可点击在线咨询了解详情!
中韩·唯美口腔牙齿美白专家推荐

程玲,口腔执业医师,精湛技术:牙齿美容、牙齿矫正、1小时德国西诺德CAD/CAM3D齿雕全瓷修复。毕业于河南医科大学,先后在华西口腔医学院及三级甲等医院口腔中心工作,积累了丰富的临床经验。在固定修复、美齿美白方面技艺精湛有着突出优势,曾参与中韩美容整形峰会,并于核心期刊发表论文多篇。该医师技术娴熟,操作规范轻柔,行医严谨,待人真诚,已成功完成近千例的牙齿美容修复,深得患者好评。在线预约,可享受更多牙齿美白的优惠!
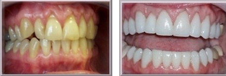
中韩·唯美口腔牙齿美白前后对比图

如果您还有想要了解更多有关氟斑牙的相关知识,可以点击我们的在线咨询或拔打我们24小时美牙热线0371-60318899,中韩·唯美口腔的专家会给您更专业,更详细的解答。
豫公网安备 41010502002633号
免责声明:本网站近期将进行改版,网站所有内容及图片不做为任何法律依据。如有违反或者侵权,请及时联系更改。
网站医疗信息仅供参考,不能作为诊断及医疗依据 本网站内容部分来源转载于网络,不能作为任何法律依据!
请注意时效性,望知悉。如有违反或者侵权,请及时联系更正。