患有氟斑牙存在哪些危害?变色的牙齿总是让我们在微笑的时候难以启齿,还要遭受到口腔病菌的侵害。氟斑牙是一种地区性的牙齿变色情况,那么患了氟斑牙会有哪些危害发生呢?下面跟随郑州知名口腔科专家来了解一下。
患有氟斑牙存在哪些危害?氟斑牙的危害
1、氟斑牙是在同一时期萌出的釉质上有白垩色到褐色的斑块,严重者还并发有釉质的实质缺损。临床上常按其轻、中、重度而分为白垩型(轻度)、着色型(中度)和缺损型(重度)三种类型。
2、严重的慢性氟中毒患者,可有骨骼的增殖性变化,骨膜、韧带等均可钙化,并从而产生腰、腿和全身关节症状。急性中毒症状为恶心、呕吐、腹泻等。由于血钙与氟结合,形成不溶性的氟化钙,引起肌痉挛、虚脱和呼吸困难,以致死亡。推荐阅读:3D全瓷牙
重度氟斑牙治疗方法推荐——3D全瓷牙
中韩·唯美口腔拥有的3D全瓷牙采用更高端的氧化锆材料,运用先进的CT三维数字扫描技术、电脑智能CAD/CAM系统设计,在短时间内根据患者的口腔条件、脸型、肤色,量身定做个性化全瓷牙修复美容方案。3D全瓷牙拥有完美的精密度;具有真牙相匹配的透光性,色泽逼真,可媲美自然牙;良好的生物相容性,对牙龈无刺激;强度绝佳,强度超出真牙,拥有卓越的咬合力量,无不良金属离子渗出,磨牙较少,更大程度地保留原有的牙齿组织,所以能达到更佳的美齿效果及与软组织的更舒适接触。点击在线咨询,了解全瓷牙的优惠信息!在线预约可享更多优惠!
中韩·唯美口腔牙齿美容专家推荐

莫三心教授,主任医师,硕士研究生导师。唯美口腔特邀专家,河南省口腔医学领域知名专家、郑州大学知名教授。精湛技术:牙齿种植、口腔修复、牙齿美容修复曾多次获得卫生部及省市各级表彰。主编多部并且参与编写多部国家医学教材,发表学术论文20余篇。擅于口腔修复,并涵盖口腔专业各个领域,可谓是大师级的口腔专家,在国内口腔界享有很高的声望。
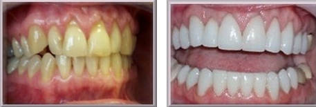
中韩·唯美口腔牙齿美容前后对比图

如果您觉得我们的文章没有解释的很清楚,或者还有其他疑问,您可以直接点击我们的在线咨询医生,中韩·唯美口腔专业咨询医生会给您耐心的,详细的解答,并给您一个满意的答复!
豫公网安备 41010502002633号
免责声明:本网站近期将进行改版,网站所有内容及图片不做为任何法律依据。如有违反或者侵权,请及时联系更改。
网站医疗信息仅供参考,不能作为诊断及医疗依据 本网站内容部分来源转载于网络,不能作为任何法律依据!
请注意时效性,望知悉。如有违反或者侵权,请及时联系更正。