牙齿变色常常使很多人有口难言,连笑容也少了很多,毕竟一口黄牙对形象的影响很大,难免给别人产生不好的印象,因此很多人选择牙齿美白来改善牙齿。不少人对黄牙的形成很疑惑,那么到底什么原因导致牙齿变黄?
牙齿色素沉着经常让人很有口难言,很影响美观,下面由专家为大家介绍一些黄牙形成的因素:
一、先天遗传因素:牙齿的颜色,是由牙冠部分的牙本质呈现出来的,通常无色透明的牙釉质,会让我们的牙齿看起来像乳黄牙;
二、化学元素的因素:抗生素的使用、长期在含氟的环境等等原因都会导致牙齿出现不同程度的染色,严重的话甚至导致牙齿腐蚀,脱落;
三、牙齿损伤病症的因素:牙髓病变或系统性的疾病都会导致红细胞的一些变化,牙本质中产生铁质附着的现象,引起牙齿变色;了解更多牙齿变黄的原因,点击在线咨询,直接与专家相互交流!
四、生理的因素由于饮食习惯造成牙齿表面色素的沉积,若加上年龄的增长,让牙釉质磨损变3薄而减少了透明层,加上色泽较深具保护机能的修复性牙本质产生,也会使得牙齿的颜色加深。
中韩·唯美口腔牙齿美白技术推荐
美国360°彩光美白剂是更新技术产品,美白过程中无刺激、无副作用,安全呵护牙齿结构和珐琅质,经实验对比,产品优于目前市场上任何冷光牙齿美白剂,在美国,已有超过100万以上的人采用了此种美白剂进行牙齿美白,因此被公认是目前更有效及更安全的牙齿脱色美白剂。推荐阅读:360°彩光美白
中韩·唯美口腔牙齿美白专家推荐

程玲,口腔执业医师,精湛技术:牙齿美容、牙齿矫正、1小时德国西诺德CAD/CAM3D齿雕全瓷修复。毕业于河南医科大学,先后在华西口腔医学院及三级甲等医院口腔中心工作,积累了丰富的临床经验。在固定修复、美齿美白方面技艺精湛有着突出优势,曾参与中韩美容整形峰会,并于核心期刊发表论文多篇。该医师技术娴熟,操作规范轻柔,行医严谨,待人真诚,已成功完成近千例的牙齿美容修复,深得患者好评。点击在线咨询,了解牙齿美白的优惠信息!在线预约可享更多优惠!
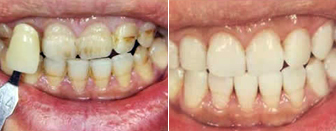
中韩·唯美口腔牙齿美白前后对比图

温馨提示:牙齿变黄一定要及时去口腔医院做诊疗,以免产生意外的伤害,如果您还有其他疑问,可直接向我们的在线专家免费咨询!点击在线咨询。中韩·唯美口腔是一家正规、高档的口腔医院具有先进一流的诊疗设备,专业知名的知名医生,实施无痛治疗,满足患者要求,以服务顾客为。
相关感兴趣文章
豫公网安备 41010502002633号
免责声明:本网站近期将进行改版,网站所有内容及图片不做为任何法律依据。如有违反或者侵权,请及时联系更改。
网站医疗信息仅供参考,不能作为诊断及医疗依据 本网站内容部分来源转载于网络,不能作为任何法律依据!
请注意时效性,望知悉。如有违反或者侵权,请及时联系更正。