牙齿变色的原因有哪些?时代的发展,社会的进步,现代人们越来越关注个人形象的培养,对牙齿整齐美白也非常关注,由于长期对牙齿口腔的忽视,很多人的牙齿出现变色的现象,那么牙齿变色的原因有哪些?
牙齿变色的原因如下:
1、由于在细菌的参与下,糖类食物酵解产酸而腐蚀牙体,久而久之造成牙齿变软,牙组织崩解,形成黑色龋洞。
2、四环素染色牙在牙齿发育期间,特别是8岁以下儿童或孕妇,如果服用四环素类药物则易引起牙齿变色,称为四环素染色牙。
3、髓变色牙,多因深龋细菌感染或直接暴力打击,牙齿意外折断,导致牙髓损伤坏死而变色。
4、氟牙症也称氟斑牙或斑釉牙。此症具有地域性发病的特点,主要是因为饮用水中氟含量过高所致。了解更多牙齿美白,点击在线咨询,直接与专家相互交流,详细咨询!
5、釉质发育不全是牙齿在发育过程中,表层的釉质因缺乏钙、磷和维生素A、D等物质;或受有害因子的作用而造成的牙齿发育障碍。
中韩·唯美口腔牙齿美白技术推荐
美国360°彩光美白剂是更新技术产品,美白过程中无刺激、无副作用,安全呵护牙齿结构和珐琅质,经实验对比,产品优于目前市场上任何冷光牙齿美白剂,在美国,已有超过100万以上的人采用了此种美白剂进行牙齿美白,因此被公认是目前更有效及更安全的牙齿脱色美白剂。推荐阅读:360°彩光美白
中韩·唯美口腔牙齿美白专家推荐

程玲,口腔执业医师,精湛技术:牙齿美容、牙齿矫正、1小时德国西诺德CAD/CAM3D齿雕全瓷修复。毕业于河南医科大学,先后在华西口腔医学院及三级甲等医院口腔中心工作,积累了丰富的临床经验。在固定修复、美齿美白方面技艺精湛有着突出优势,曾参与中韩美容整形峰会,并于核心期刊发表论文多篇。该医师技术娴熟,操作规范轻柔,行医严谨,待人真诚,已成功完成近千例的牙齿美容修复,深得患者好评。点击在线咨询,了解牙齿美白的优惠信息!在线预约可享更多优惠!
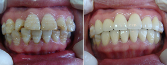
中韩·唯美口腔牙齿美白前后对比图

温馨提示:以上内容是牙齿变色的一些原因,希望大家有所警惕,避免牙齿变黄发黑,影响自己的形象,更多疑问,可以随时点击在线咨询,中韩·唯美口腔会给您一个专业的分析,详细的解答,并给您一个满意的答复!
相关感兴趣文章
豫公网安备 41010502002633号
免责声明:本网站近期将进行改版,网站所有内容及图片不做为任何法律依据。如有违反或者侵权,请及时联系更改。
网站医疗信息仅供参考,不能作为诊断及医疗依据 本网站内容部分来源转载于网络,不能作为任何法律依据!
请注意时效性,望知悉。如有违反或者侵权,请及时联系更正。