牙齿美白需要多少费用?随着社会交往中形象越来越重要,需要牙齿发黄患者希望对自己的牙齿进行美白,来改善自己的形象,可是牙齿美白的价格并不是固定不变的,影响美白价格的因素很多,那么牙齿美白需要多少费用?
牙齿美白的费用有很多因素决定,唯美口腔专家为大家讲解一些常见原因:
1、爱美者个人情况不同:每个人的体质是不一样的,所以针对的牙齿美白的方法是有所不同的,要根据您自身的口腔环境而选择美白的方法,所以价格也是会有所不同的。
2、选择的医院及医生不同:因选择好的,大的,专业大型的口腔机构,由于设备齐全,环境好等因素,美白价格自然也就高,再加上选择的医生级别职称高,那么美白价格也就高了。了解更多牙齿美白,点击在线咨询,直接与专家相互交流,详细咨询!
3、采用的设备不同:冷光美白治疗仪现在种类很多,相比较而言,每种冷光美白仪的价格都是不一样的,这主要决定于医院使用的设备如何,不过如果患者对其中的一种效果比较中意,也可以专门去有这种冷光美白仪的医院进行治疗
中韩·唯美口腔牙齿美白技术推荐
美国360°彩光美白剂是更新技术产品,美白过程中无刺激、无副作用,安全呵护牙齿结构和珐琅质,经实验对比,产品优于目前市场上任何冷光牙齿美白剂,在美国,已有超过100万以上的人采用了此种美白剂进行牙齿美白,因此被公认是目前更有效及更安全的牙齿脱色美白剂。推荐阅读:360°彩光美白
中韩·唯美口腔牙齿美白专家推荐

程玲,口腔执业医师,精湛技术:牙齿美容、牙齿矫正、1小时德国西诺德CAD/CAM3D齿雕全瓷修复。毕业于河南医科大学,先后在华西口腔医学院及三级甲等医院口腔中心工作,积累了丰富的临床经验。在固定修复、美齿美白方面技艺精湛有着突出优势,曾参与中韩美容整形峰会,并于核心期刊发表论文多篇。该医师技术娴熟,操作规范轻柔,行医严谨,待人真诚,已成功完成近千例的牙齿美容修复,深得患者好评。点击在线咨询,了解牙齿美白的优惠信息!在线预约可享更多优惠!
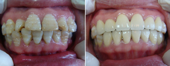
中韩·唯美口腔牙齿美白前后对比图

温馨提示:牙齿美白一定要到正规专业的口腔医院,这样手术费用规定比较透明,以免大家多花冤枉钱,如果您还有其他不明白的地方,可以随时点击我们中韩·唯美口腔医院的在线咨询,与专家进行交流!
相关感兴趣文章
豫公网安备 41010502002633号
免责声明:本网站近期将进行改版,网站所有内容及图片不做为任何法律依据。如有违反或者侵权,请及时联系更改。
网站医疗信息仅供参考,不能作为诊断及医疗依据 本网站内容部分来源转载于网络,不能作为任何法律依据!
请注意时效性,望知悉。如有违反或者侵权,请及时联系更正。