有些人对美丽有一种执着的追求,很多人都想拥有一口洁白亮丽的牙齿,可是种种原因导致事与愿违,牙齿着色一直是爱美人士对牙齿美白追求的阻碍,牙齿美白技术是解决牙齿着色问题的途径,那么牙齿着色该怎么解决?
牙齿美白是恢复牙齿颜色的主要手段,牙齿着色一般有两种治疗手段,即修复治疗和漂白治疗:
1、修复治疗:需要磨除一定量的天然牙齿,用人造材料(称为修复体)进行覆盖,以恢复牙齿的形态、遮住牙齿的异常颜色,达到美观的目的.根据牙体磨除量、磨除部位及修复材料的不同又分为树脂贴面、瓷贴面及瓷冠修复等修复方式.
此技术的优点是可获得较为理想的牙色改变效果.缺点是存在磨除天然牙和伤及牙髓引起并发症的可能性.有些情况下,它还存在一定的脱落效果,瓷修复的费用也相对高些.此技术通常更适合牙齿伴有外形缺损、牙齿重度染色、死髓牙变色及对美观改变要求高的患者.了解更多牙齿美白,点击在线咨询,直接与专家相互交流,详细咨询!
2、牙齿漂白治疗:一种不需磨除天然牙而使牙齿改变颜色的治疗方法,分为死髓牙漂白和活髓牙漂白,均为药物漂白.
其优点是不需要磨除天然牙,保留了牙齿的天然外形.缺点是不同的牙齿状况美白效果会有所差异.随着时间的推移,牙齿漂白术后存在复色的可能性,需要定期进行美白治疗.活髓牙漂白后可能会发生一定的牙髓敏感症状(如出现冷热刺激敏感等症状),且存在个体差异.
中韩·唯美口腔牙齿美白技术推荐
美国360°彩光美白剂是更新技术产品,美白过程中无刺激、无副作用,安全呵护牙齿结构和珐琅质,经实验对比,产品优于目前市场上任何冷光牙齿美白剂,在美国,已有超过100万以上的人采用了此种美白剂进行牙齿美白,因此被公认是目前更有效及更安全的牙齿脱色美白剂。推荐阅读:360°彩光美白
中韩·唯美口腔牙齿美白专家推荐

罗柏柯,口腔执业医师,精湛技术:美容修复、口内治疗、1小时德国西诺德CAD/CAM3D齿雕全瓷修复。毕业于郑州大学口腔系,曾于华西口腔医学院从事口腔修复、口腔外科以及口腔内科工作,拥有丰富的临床经验,主要擅长烤瓷和全瓷的美容修复及龋病的充填治疗,牙髓病、根尖周病的根管治疗。多次应邀参加国内外口腔学术交流,在省级、品质刊物上发表学术论文数十篇。从医以来,接诊病例数千例,为人谦和,热心细致,操作轻柔,得到客人与同事一致肯定与称赞!点击在线咨询,了解牙齿美白的优惠信息!在线预约可享更多优惠!
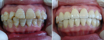
中韩·唯美口腔牙齿美白前后对比图

温馨提示:以上内容是关于牙齿着色治疗的办法,希望对大家有所帮助,如果您想了解更多牙齿美白的相关信息,您可以点击在线咨询,与专家相互交流,或拨打专家咨询热线,中韩·唯美口腔医院专家将给出专业的意见并提供更优质的咨询服务.
相关感兴趣文章
豫公网安备 41010502002633号
免责声明:本网站近期将进行改版,网站所有内容及图片不做为任何法律依据。如有违反或者侵权,请及时联系更改。
网站医疗信息仅供参考,不能作为诊断及医疗依据 本网站内容部分来源转载于网络,不能作为任何法律依据!
请注意时效性,望知悉。如有违反或者侵权,请及时联系更正。