重度氟斑牙如何美白?牙齿变色的问题往往成为阻扰我们展现笑容的一个重要的原因。氟斑牙就是一种常见的牙齿变色现象,对于我们自身的形象问题影响是很大的。那么重度氟斑牙如何美白呢?下面跟随郑州知名口腔科专家来了解一下。
中韩·唯美口腔医院专家介绍说,氟斑牙的美白总的来说方法还是很多的,像轻度氟斑牙可以采用美国彩光美白技术进行美白治疗。而重度的氟斑牙就可以采用美容冠进行美白了。
美容冠美白重度氟斑牙的优势:
1、美容冠美白重度氟斑牙无需拔牙,安全无痛。美牙冠采用美国必兰麻无痛技术,不仅在诊疗全过程中不会有痛楚,还极大地降低酸涩感,对牙龈牙体均无伤害,彻底解除您爱美又怕痛的顾虑。
2、美容冠美白重度氟斑牙色泽逼真,美观大方。美牙冠采用更新数码科技,精确分析牙齿形态以及病症,根据牙冠、牙根、牙颈三部分形态,再采用3D定位系统,由专业的美容牙医为您制定美牙方案。专家根据就诊者不同的牙色,运用德国VITA比色技术,精确对比牙齿明度、饱和度和色泽,通过26个牙色层次化类比,确定出更适合您的美牙冠牙色,令成形后的牙齿达到完美的色调统一、自然逼真、美观大方,常年保持美丽天然的光泽,如同真牙。
3、美容冠美白重度氟斑牙损伤很小,坚固无比。美牙冠以更小的牙齿损伤来更大程度地恢复牙齿美观效果,有效避免细菌造成的快速龋齿,比传统烤瓷牙更坚固,更新科技的粘贴技术,终生不脱落。数据分析显示,经美牙冠美容后的牙齿至少可以承受50公斤拉力。
4、美容冠美白重度氟斑牙操作简单,高效快速。美牙冠只需短短7天时间,来院两次就可轻松拥有一口靓牙。因此是现代都市人群更好的牙齿美白方式之一。推荐阅读:3D美容冠
中韩·唯美口腔引进的3D美容冠利用三维数码立体成像技术,将美学和口腔医学完全融合,根据个人肤色、脸型、牙列特点,利用更新激光雕刻技术,制定出与本人更为匹配的牙齿形态。并运用先进比色技术,依照真牙颜色,通过29层颜色对比分析,使成形后的牙冠与真牙达到完美的色调统一,自然逼真。3D美容冠具有高机械强度、高硬度、高耐磨性、高耐腐蚀性等优点,突破了传统烤瓷牙的限制,并与牙齿边缘紧密贴合,使牙髓、牙神经得到有效保护。避免了冷、热、酸、甜带来的对牙髓过敏性刺激。点击在线咨询,了解美容冠的优惠活动!在线预约可享更多优惠!
中韩·唯美口腔牙齿美容专家推荐

莫三心教授,主任医师,硕士研究生导师。唯美口腔特邀专家,河南省口腔医学领域知名专家、郑州大学知名教授。精湛技术:牙齿种植、口腔修复、牙齿美容修复曾多次获得卫生部及省市各级表彰。主编多部并且参与编写多部国家医学教材,发表学术论文20余篇。擅于口腔修复,并涵盖口腔专业各个领域,可谓是大师级的口腔专家,在国内口腔界享有很高的声望。
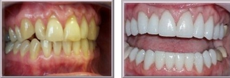
中韩·唯美口腔牙齿美容前后对比图

如果您还有想要了解的情况,可以点击我们的在线咨询,中韩·唯美口腔的在线专家会给您更专业,更详细的解答,或是拨打我们的24小时康复热线,与专家一对一详解。
豫公网安备 41010502002633号
免责声明:本网站近期将进行改版,网站所有内容及图片不做为任何法律依据。如有违反或者侵权,请及时联系更改。
网站医疗信息仅供参考,不能作为诊断及医疗依据 本网站内容部分来源转载于网络,不能作为任何法律依据!
请注意时效性,望知悉。如有违反或者侵权,请及时联系更正。