牙齿矫正的价格是多少呢?回想小时候整齐美观的牙齿,再看看眼前镜子中那歪歪扭扭的牙齿,就不由得后悔对自个的牙齿没有好好保护,才落到这般田地,世上若是有‘后悔药’,怕是千金也愿买。牙齿矫正便是解决牙齿不齐的‘后悔药’,还你昔日牙齿的整齐美观。那么牙齿矫正的价格是多少呢?
牙齿矫正的价格是多少呢?一般情况下,牙齿矫正需要根据患者的牙齿病况来确定诊疗方案,患者的牙齿发育和病情发展情况都是影响手术的关键,所以在矫正牙齿时,选择一家正规专业的牙齿矫正医院很关键,其效果都有保障。牙齿矫正价格由下面几个因素决定:
1、患者的年龄:一般人认为牙齿矫正只是青少年儿童的事,其实牙齿矫正没有严格的年龄限制。只是与青少年牙齿矫正相比较,成人由于错颌时间较长,往往存在龋齿和严重的牙周炎问题,牙齿矫正的复杂性和难度相对较大,牙齿矫正价格在一定程度上显得有差异。
2、患者病情的复杂程度:介于错位咬颌、前牙深覆盖、前牙反、开颌、牙间隙过大、牙列拥挤等个人情况的不同,正畸难度各不一样,对口腔正畸专家的经验要求更高,牙齿矫正价格也随之不一样。
3、牙齿矫正器的选择:牙齿矫正是采用生物力学原理对牙颌畸形进行矫治,通过粘接在牙齿上的各种矫治器,对牙齿施加机械力量,将牙齿排列整齐,使其恢复正常的排列和咬颌功能,同时也促进了口腔的健康,而不是单纯为了美观。不同的牙齿矫治器的矫正特点各不一样,牙齿矫正价格各不一样,根据个人错颌的特点和程度的情况,选择适合自己的牙齿矫治器,方能有效提高牙齿矫正速度。
4、患者选择的牙齿矫正方法:目前各个口腔医院对于牙齿矫正都有不止一种解决办法,价格和效果自然也是不同。现在郑州颇受患者青睐的隐形牙齿矫正,隐形美观,不影响正常的生活,因而往往矫正后的效果更为理想,自然牙齿矫正的费用就不一样!如何选择适合自己的牙齿矫正方法呢?点击在线咨询,直接与专家交谈了解详情!
中韩·唯美口腔技术推荐
中韩·唯美口腔率先引进的韩式四维隐形正畸技术继承了传统的牙颌畸形矫治的理念,是现代口腔医学、计算机辅助四维诊断、个性化设计及数字化成型技术的完美结合,是正畸领域的新突破。韩式四维隐形正畸由知名专家坐诊,实现全程无痛无创快速疗法,专门治疗各种牙齿排列不整齐,咬合错位等牙齿形态问题,还你一口整齐、坚固耐用的健康原牙。
韩式四维隐形正畸技术是完全个性化的设计理念,可根据正畸者的情况佩带不同的矫治器,完全不影响正畸者的生活。具有隐形高效,稳定美观的特点,并且大大地缩短了疗程,使治疗时间缩短近三分之一,复诊时间缩短二分之一,为正畸者大大节省了时间,透明韩式四维隐形正畸矫正矫治器厚度不到1mm,透明、光滑、舒适,无异物感和粘膜刺激,是目前更受欢迎和信赖的美齿项目。推荐阅读:韩式隐形正畸
中韩·唯美口腔牙齿矫正专家推荐

李玉如,口腔正畸科。副教授,副主任医师,硕士生导师,口腔医学正畸专业硕士。1991年毕业于中山医科大学口腔系,一直从事口腔正畸的临床、教学和科研工作,临床经验丰富,并注重知识的学习更新,2004年硕士学位毕业。擅长正畸科各类牙颌畸形及疑难病例的矫治,对青少年反牙合、开牙合、功能性矫治、阻生牙的导萌牵引及成年人牙颌畸形、牙周病的正畸治疗有良好的疗效。点击在线咨询,了解牙齿矫正的优惠信息!在线预约可享更多优惠!
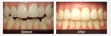
中韩·唯美口腔牙齿矫正前后对比图

温馨提示:如果您对口腔方面还有其他疑问,可直接向我们中韩·唯美口腔医院的在线专家免费咨询!专家届时会针对您的问题,给出专门个人的诊疗方案。欢迎点击在线咨询。
相关感兴趣文章
豫公网安备 41010502002633号
免责声明:本网站近期将进行改版,网站所有内容及图片不做为任何法律依据。如有违反或者侵权,请及时联系更改。
网站医疗信息仅供参考,不能作为诊断及医疗依据 本网站内容部分来源转载于网络,不能作为任何法律依据!
请注意时效性,望知悉。如有违反或者侵权,请及时联系更正。