牙齿矫正也有危害吗?快乐自信是生活的延续,但是世上没有完美的事情,很多人因为自己那歪歪扭扭的牙齿,渐渐情绪低落,笑容也失去了踪影。找回过去的自信和快乐,改变自己破坏的牙齿形象,迫在眉睫,非常重要,目前牙齿矫正是解决牙齿不齐问题的重要手段,为成千上万的患者消除了烦恼,但是牙齿矫正也有危害吗?
如今牙齿矫正帮助很多牙齿不整齐的人解决了烦恼,但是也有一些患者的病情并没有得到缓解,大都不是正规专业的医院治疗的,小诊所小医院根本无法保证手术的效果,而且也需要个人术后的自我调养和口腔保护。那么牙齿矫正的危害会有哪些?唯美口腔专家介绍如下:
1、牙齿松动,在正常情况下,每个牙都有一定的生理动度以便能缓冲咀嚼压力,防止牙齿受创伤。在做口腔牙齿矫正治疗时,牙齿松动度增加,这是正常反应。牙齿要移动,需要牙槽骨和牙周膜的重建,因为牙齿是靠牙周膜固定在牙槽骨里,这样牙齿就会变松动。
2、对牙髓有所影响。在牙齿矫正的治疗初期,牙髓内产生轻度的、暂时性的炎症反应,表现为患者在加力的头几天内有疼痛或不适感。想要了解牙髓炎,点击在线咨询,与专家一对一交流,详细了解!
3、对牙槽骨高度的影响。做过口腔牙齿矫正治疗的人,牙槽骨高度都会有少量的降低,这是由于戴矫治器使口腔卫生不易保持,增加患牙龈炎的机会,对牙槽骨有一定的影响,在治疗完成后,牙槽骨不会再继续发生吸收,如果口腔卫生保持好,牙槽骨会逐渐恢复正常。
中韩·唯美口腔技术推荐
中韩·唯美口腔率先引进的韩式四维隐形正畸技术继承了传统的牙颌畸形矫治的理念,是现代口腔医学、计算机辅助四维诊断、个性化设计及数字化成型技术的完美结合,是正畸领域的新突破。韩式四维隐形正畸由知名专家坐诊,实现全程无痛无创快速疗法,专门治疗各种牙齿排列不整齐,咬合错位等牙齿形态问题,还你一口整齐、坚固耐用的健康原牙。
韩式四维隐形正畸技术是完全个性化的设计理念,可根据正畸者的情况佩带不同的矫治器,完全不影响正畸者的生活。具有隐形高效,稳定美观的特点,并且大大地缩短了疗程,使治疗时间缩短近三分之一,复诊时间缩短二分之一,为正畸者大大节省了时间,透明韩式四维隐形正畸矫正矫治器厚度不到1mm,透明、光滑、舒适,无异物感和粘膜刺激,是目前更受欢迎和信赖的美齿项目。推荐阅读:韩式隐形正畸
中韩·唯美口腔牙齿矫正专家推荐

李玉如,口腔正畸科。副教授,副主任医师,硕士生导师,口腔医学正畸专业硕士。1991年毕业于中山医科大学口腔系,一直从事口腔正畸的临床、教学和科研工作,临床经验丰富,并注重知识的学习更新,2004年硕士学位毕业。擅长正畸科各类牙颌畸形及疑难病例的矫治,对青少年反牙合、开牙合、功能性矫治、阻生牙的导萌牵引及成年人牙颌畸形、牙周病的正畸治疗有良好的疗效。点击在线咨询,了解牙齿矫正的优惠信息!在线预约可享更多优惠!
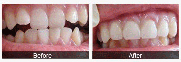
中韩·唯美口腔牙齿矫正前后对比图

温馨提示:如果您对口腔方面还有其他疑问,可直接向我们中韩·唯美口腔医院的在线专家免费咨询!专家届时会针对您的问题,给出专门个人的诊疗方案。欢迎点击在线咨询。
相关感兴趣文章
豫公网安备 41010502002633号
免责声明:本网站近期将进行改版,网站所有内容及图片不做为任何法律依据。如有违反或者侵权,请及时联系更改。
网站医疗信息仅供参考,不能作为诊断及医疗依据 本网站内容部分来源转载于网络,不能作为任何法律依据!
请注意时效性,望知悉。如有违反或者侵权,请及时联系更正。