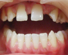
门牙有缝隙怎么办?其实门牙有缝就是我们常见的牙列稀疏。每个人都希望别人用美来对我们定位,这个美不只指的是我们的脸型、身材美,而是对我们整体的一个评价。一个门牙有缝的人一站在那,你能说你真“美”。即使说出那个美,也是一种违心的美。所以,门牙有缝隙咱就应该及时修复,让我们做一个“美人”。下面让我们随着专家去了解一下:

门牙有缝隙,在医学上称为牙列稀疏。门牙稀疏严重影响美观,这时可以采取口腔正畸、烤瓷牙和牙齿贴面的方法来修复牙缝。
牙齿正畸治疗可以很好解决牙列稀疏,对牙齿没有损伤,但是时间较长,成人正畸一般需要两年左右,这是很多人难于接受的。烤瓷和牙齿贴面的办法也都能够很好关上牙缝,而且需要的时间都很短,一周时间就行。这两种方法比较,烤瓷需要把牙齿磨去一圈,然后装上牙冠,牙齿贴面只是磨去牙齿表面一层,因此,牙齿贴面对牙齿造成的损伤更小一些。所以,如果牙齿没有其他问题,只是想关闭牙缝,做牙齿贴面是一个不错的选择。
对于成人牙列稀疏,目前有全新的方法——美容冠修复
美容冠是目前成人矫正牙列稀疏更常用的方法。成年人的牙齿已经长成,骨骼也趋于稳定,在这种情况下再用戴牙套的方式矫正牙齿效果要比未成年人戴牙套矫正差得多。而且用牙套矫正的方式一般要2年才会有比较不错的效果,一般成年人都会觉得这一过程实在太过于漫长。而美容冠美容修复牙齿的技术就不同了,只要短短6天,无需拔牙,就能针对性解决成人牙列不齐问题。而且通过美容冠修复后的牙齿从外观和牢固度上都可媲美真牙。推荐阅读:牙列稀疏如何才你能变紧密
专家提醒:对于牙列稀疏,如果是未成年人,议采用传统牙套矫正的方式;如果是成年人,则建议用美容冠牙齿美容修复的方法进行。这样才是更合适的矫正牙列稀疏方法。
以上就是郑州唯美口腔医院专家的介绍,我院专家团队对牙齿治疗都积累丰富的临床经验,借康复患者之间的口碑相传,声名远播,全国患者纷纷前来就诊。您的更佳选择。更多补牙的相关知识,您可以咨询在线医生。
相关感兴趣文章
豫公网安备 41010502002633号
免责声明:本网站近期将进行改版,网站所有内容及图片不做为任何法律依据。如有违反或者侵权,请及时联系更改。
网站医疗信息仅供参考,不能作为诊断及医疗依据 本网站内容部分来源转载于网络,不能作为任何法律依据!
请注意时效性,望知悉。如有违反或者侵权,请及时联系更正。